Kushtha Chikitsa
Section/Chapter Chikitsa Sthana Chapter 7
Preceding Chapter Prameha Chikitsa
Succeeding Chapter Rajayakshma Chikitsa
Other Sections Sutra Sthana, Nidana Sthana, Vimana Sthana, Sharira Sthana, Indriya Sthana, Kalpa Sthana, Siddhi Sthana

(Chikitsa Sthana Chapter 7, Chapter on the Management of Skin Disorders)

Abstract

Kushtha Chikitsa is a compendium of various skin diseases, divided into two groups i.e. major (maha kushtha) and ii. minor (kshudra kushtha). Seven types of major and eleven types of minor skin disorders or dermatosis are described here as guidelines to understand diagnosis and treatment principles of various skin disorders. Etiological factors including antagonistic food, suppression of natural urges especially vomiting, quick change in temperature, exposure to excess heat, and sudden biological changes in fluid volume and muscle mass cause kushtha. Clinical features of skin disorders, their diagnosis according to dominance of dosha as well as their prognosis and treatment is described in detail. Panchakarma (five body purification procedures) are emphasized for management of skin diseases and prevention of recurrence. Local scrapping method for bloodletting in smaller lesions and venesection for large lesions, therapeutic purgation are important treatment measures in kushtha. Medicinal preparations including ghee, formulations for internal administration and external application on skin lesions are described.

Keywords: Skin diseases saptakō dravya, kōṭhānāṁ, Kaṇḍū, kapāla, udumbara, maṇḍala, rṣyajihva, puṇḍarīka, sidhma, kākaṇaka, ekakuṣṭha, carmākhya, kiṭima, vipādika, alasaka, dadru, carmadala, pāmā, visphōṭaka, śatāru, vicārcikā, ksudrakuṣṭha, mahakuṣṭha, matsyaśakalōpāmām, hasticarmavat, kiṇakharasparśaṁ, lēlītaka, madhvāsava, śvētakaravīrādya tailam, tiktēkṣvākvādi taila, kanakakṣīrītaila, tiktaṣaṭpalakaṁ ghr̥ta, mahātiktakaṁ ghr̥tam, mahākhadiraṁ ghr̥ta, śvitrā, dāruṇa, cāruṇaṁ, kilāsa

Introduction

Skin is the largest organ of the body constituting the integumentary system, comprising of skin, hair and nails etc. It constitutes 16% of body weight. Skin has the total surface area varying 1.2-2.2 sq.m. It is a combined product of ectoderm as well as of mesoderm. Kushtha (skin disorder or dermatosis) is a chronic disease which presents with ugly colors / complexion/ texture and altered tactile perceptions of the skin. The word kushtha is derived from kushnati vapuh meaning that which alters complexion of body by extracting.

All the types of kushtha are caused due to vitiation of tridosha with involvement of skin, blood, lymph and muscular issue. Kushtha is often translated in English as leprosy, which is not correct because of absence of Mycobacterium leprae, though the appearance of skin lesions of mahakushtha resemble leprosy. Etiological factors of kushtha are antagonistic food, toxins released from suppressed natural urges, and practices harmful to the blood and skin. It is tridoshaja disease, but because of variable proportion of one specific dosha, causes variation in features and prognosis. Variable doshic impact on skin, gives different color, complexion, pain sensitivity, texture, deformities, discharge, and tactile perception. Generalized symptoms appear only in prodromal stage.

In the context of kushtha, four aspects of skin are important. First is that it consists of six layers (as described in Sharira Sthana chapter 4), and each layer is seat of specific type of gradually progressing kushtha.

Second aspect is that it is a sensory organ too, and is seat of vata dosha. In case of kushtha vitiated vata in skin manifests as, horripilations, numbness, and loss of tactile perceptions.

Third aspect, skin is the sub-tissue or upadhatu of mansadhatu, texture of skin depends upon muscle texture, so the dermal deformities spread upto the mansa dhatu or musculature and skin texture causing ugly shape of skin lesions. Lastly, affliction of deeper layers of skin deteriorates the ulcer healing ability of skin and damages the defense mechanisms against enormous pathological invasions. Thus, the kushtha stands for long time with more and more uglier shape.

This chapter is placed after Prameha Chikitsa, because one of the complications of prameha is carbuncle, which penetrates deeper into the muscles and is very similar to kushtha but the etio-pathogenesis is very different. Indulging in heavy to digest food products is responsible for increase of kleda (excess moisture) in the body. Such kleda is carried by mutra and leads to increase in quantity and frequency of mutra leading to pathogenesis of prameha. When same kleda spreads throughout the body causes shaithilyata (looseness of body tissue) and also vitiates meda dhatu. Vitiated kleda and meda are responsible for mansa dusti which is responsible for pidika genesis and manifest as change in color, texture and sensation of tvacha (skin). This leads to various skin diseases.

Another disease named visarpa is explained later in 21st chapter of this section also has these components commonly, but due to prominence of impurity in blood that is a rapidly spreading disease whereas kushtha is slow progressing disease. Whereas visarpa advances into the visceral parts, kushtha spreads horizontally and limited to skin only.

All the kushtha are curable except mahakushtha named kakanak, because it does not have any systemic involvements. At the end of the chapter, three types of skin disorders caused by hypo-pigmentations are mentioned as shwitra with their treatments.

Sanskrit Text, Transliteration and English Translation

अथातः कुष्ठचिकित्सितं व्याख्यास्यामः||१||

इति ह स्माह भगवानात्रेयः||२||

हेतुं द्रव्यं लिङ्गं कुष्ठानामाश्रयं प्रशमनं च| शृण्वग्निवेश! सम्यग्विशेषतः स्पर्शनघ्नानाम्||३||

athātaḥ kuṣṭhacikitsitaṁ vyākhyāsyāmaḥ||1||

iti ha smāha bhagavānātrēyaḥ||2||

hētuṁ dravyaṁ liṅgaṁ kuṣṭhānāmāśrayaṁ praśamanaṁ ca| śr̥ṇvagnivēśa! samyagviśēṣataḥ sparśanaghnānām||3||

athAtaH kuShThacikitsitaM vyAkhyAsyAmaH||1||

iti ha smAha bhagavAnAtreyaH||2||

hetuM dravyaM li~ggaM kuShThAnAmAshrayaM prashamanaM ca| shRuNvagnivesha! samyagvisheShataH sparshanaghnAnAm||3||

Now we shall expound the chapter on management of kushtha (obstinate skin diseases). Thus said Lord Atreya.

Etiology, factors essential for genesis of disease, symptoms and signs, premonitory features, pathogenesis along with treatment is being mentioned. Listen Agnivesha! The specialty of this disease is that there is loss of integrity of seat of sparshanendriya i.e. tvacha. [1-3]

Etiology

विरोधीन्यन्नपानानि द्रवस्निग्धगुरूणि च| भजतामागतां छर्दिं वेगांश्चान्यान्प्रतिघ्नताम्||४||

व्यायाममतिसन्तापमतिभुक्त्वोपसेविनाम्| शीतोष्णलङ्घनाहारान् क्रमं मुक्त्वा निषेविणाम्||५||

घर्मश्रमभयार्तानां द्रुतं शीताम्बुसेविनाम्| अजीर्णाध्यशिनां चैव पञ्चकर्मापचारिणाम्||६||

नवान्नदधिमत्स्यातिलवणाम्लनिषेविणाम्| माषमूलकपिष्टान्नतिलक्षीरगुडाशिनाम्||७||

व्यवायं चाप्यजीर्णेऽन्ने निद्रां च भजतां दिवा| विप्रान् गुरून् धर्षयतां पापं कर्म च कुर्वताम्||८||

virōdhīnyannapānāni dravasnigdhagurūṇi ca| bhajatāmāgatāṁ chardiṁ vēgāṁścānyānpratighnatām||4||

vyāyāmamatisantāpāmātibhuktvōpasēvinām| śītōṣṇalaṅghanāhārān kramaṁ muktvā niṣēviṇām||5||

gharmaśramabhayārtānāṁ drutaṁ śītāmbusēvinām| ajīrṇādhyaśināṁ caiva pañcakarmāpacāriṇām||6||

navānnadadhimatsyātilavaṇāmlaniṣēviṇām| māṣamūlakapiṣṭānnatilakṣīraguḍāśinām||7||

vyavāyaṁ cāpyajīrṇē'nnē nidrāṁ ca bhajatāṁ divā| viprān gurūn dharṣayatāṁ pāpaṁ karma ca kurvatām||8||

virodhInyannapAnAni dravasnigdhagurUNi ca| bhajatAmAgatAM chardiM vegAMshcAnyAnpratighnatAm||4||

vyAyAmamatisantApamatibhuktvopasevinAm| shItoShNala~gghanAhArAn kramaM muktvA niSheviNAm||5||

gharmashramabhayArtAnAM drutaM shItAmbusevinAm| ajIrNAdhyashinAM caiva pa~jcakarmApacAriNAm||6||

navAnnadadhimatsyAtilavaNAmlaniSheviNAm| mAShamUlakapiShTAnnatilakShIraguDAshinAm||7||

vyavAyaM cApyajIrNe~anne nidrAM ca bhajatAM divA| viprAn gurUn dharShayatAM pApaM karma ca kurvatAm||8||

Viruddha annapana, excessive intake of drava, snigdha and guru dravyas; restraining natural urges like vomiting etc; exercising or coming in contact of excessive heat after eating excessive quantity of food. Indulging in habits such as, taking shita quality food etc. followed by ushna quality or either fasting followed by heavy meals. Having cold water immediately after exposure to scorching sun, exertion and fear, eating uncooked or raw foods or having meals although previously taken meals have not been digested. Indulging in food and other habits which have been restricted during the phase of Panchakarma.

Consuming new grains, curds, fish, excessive salty and sour food items. Black grams, radish, food prepared from flour paste, sesame, milk and jaggery products. Indulging in sexual activity even if the food is not well digested (sexual intercourse immediately after taking food), sleeping during day time, insulting peers like brahmin / guru and other respected personal and doing sinful acts are the etiological and risk factors of kushtha. [4-8]

Pathogenic factors

वातादयस्त्रयो दुष्टास्त्वग्रक्तं मांसमम्बु च| दूषयन्ति स कुष्ठानां सप्तको द्रव्यसङ्ग्रहः||९||

अतः कुष्ठानि जायन्ते सप्त चैकादशैव च| न चैकदोषजं किञ्चित् कुष्ठं समुपलभ्यते||१०||

vātādayastrayō duṣṭāstvagraktaṁ māṁsamambu ca| dūṣayanti sa kuṣṭhānāṁ saptakō dravyasaṅgrahaḥ||9||

ataḥ kuṣṭhāni jāyantē sapta caikādaśaiva ca| na caikadōṣajaṁ kiñcit kuṣṭhaṁ samupalabhyatē||10||

vAtAdayastrayo duShTAstvagraktaM mAMsamambu ca| dUShayanti sa kuShThAnAM saptako dravyasa~ggrahaH||9||

ataH kuShThAni jAyante sapta caikAdashaiva ca| na caikadoShajaM ki~jcit kuShThaM samupalabhyate||10||

The vitiated three doshas- vata, pitta, kapha along with impaired tvak, rakta, mamsa and ambu together constitute seven essential entities which play role in pathogenesis of kushtha. Kushtha can be classified into seven mahakushtha (major skin disorders) and eleven kshudrakushtha (eleven minor skin disorders). Single dosha cannot cause kushtha on its own i.e. kushtha is not an nanatmaja (disease caused by single specific dosha) disease. [9-10]

Premonitory signs and symptoms

स्पर्शाज्ञत्वमतिस्वेदो न वा वैवर्ण्यमुन्नतिः| कोठानां लोमहर्षश्च कण्डूस्तोदः श्रमः क्लमः||११||

व्रणानामधिकं शूलं शीघ्रोत्पत्तिश्चिरस्थितिः| दाहः [१] सुप्ताङ्गता चेति कुष्ठलक्षणमग्रजम्||१२||

sparśājñatvamatisvēdō na vā vaivarṇyamunnatiḥ| kōṭhānāṁ lōmaharṣaśca kaṇḍūstōdaḥ śramaḥ klamaḥ||11||

vraṇānāmadhikaṁ śūlaṁ śīghrōtpattiścirasthitiḥ| dāhaḥ [1] suptāṅgatā cēti kuṣṭhalakṣaṇamagrajam||12||

sparshAj~jatvamatisvedo na vA vaivarNyamunnatiH| koThAnAM lomaharShashca kaNDUstodaH shramaH klamaH||11||

vraNAnAmadhikaM shUlaM shIghrotpattishcirasthitiH| dAhaH [1] suptA~ggatA ceti kuShThalakShaNamagrajam||12||

Decreased touch sensation, excessive sweating or absence of sweating (which may be localized or generalized), change in color (discoloration), papules on skin, horripilation, pruritus, pricking pain, physical exhaustion, mental fatigue, severe pain in ulcerated area, sudden appearance and chronic the ulcers, burning sensation, numbness are the premonitory symptoms of skin disease.[11-12]

Eighteen types of skin diseases

अत ऊर्ध्वमष्टादशानां कुष्ठानां कपालोदुम्बरमण्डलर्ष्यजिह्वपुण्डरीकसिध्मकाकणकैककुष्ठचर्माख्य-किटिभविपादिकालसकदद्रुचर्मदलपामाविस्फोटकशतारुर्विचर्चिकानां लक्षणान्युपदेक्ष्यामः||१३||

ata ūrdhvamaṣṭādaśānāṁ kuṣṭhānāṁkapālōdumbaramaṇḍalarṣyajihvapuṇḍarīkasidhmakākaṇakaikakuṣṭhacarmākhya-kiṭibhavipādikālasakadadrucarmadalapāmāvisphōṭakaśatārurvicārcikānāṁ lakṣaṇānyupadēkṣyāmaḥ||13||

ata UrdhvamaShTAdashAnAM kuShThAnAMkapAlodumbaramaNDalarShyajihvapuNDarIkasidhmakAkaNakaikakuShThacarmAkhya-kiTimavipAdikAlasakadadrucarmadalapAmAvisphoTakashatArurvicarcikAnAMlakShaNAnyupadekShyAmaH||13||

Henceforth 18 types of kushtha alongwith their signs and symptoms are described viz. kapāla, udumbara, maṇḍala, rṣyajihva, puṇḍarīka, sidhma, kākaṇaka, ekkuṣṭha, carmākhya, kiṭibha, vipādikā, alasaka, dadru, charmadala, pāmā, visphōṭaka, śatāru and vicārchikā.[13]

Seven major kushtha

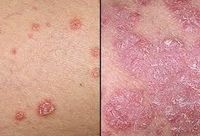
1. Kapala Kushtha

कृष्णारुणकपालाभं यद्रूक्षं परुषं तनु| कापालं तोदबहुलं तत्कुष्ठं विषमं स्मृतम्||१४||

kr̥ṣṇāruṇakapālābhaṁ yadrūkṣaṁ paruṣaṁ tanu| kāpālaṁ tōdabahulaṁ tatkuṣṭhaṁ viṣamaṁ smr̥tam||14||

kRuShNAruNakapAlAbhaM yadrUkShaM paruShaM tanu| kApAlaM todabahulaM tatkuShThaM viShamaM smRutam||14||

The clinical presentation of kapala kushtha is as follows:

Color –- kr̥ṣṇa (blackish), aruṇa (reddish)

Naturekapāla (similar to broken piece of earthen pot)

Touchrūkṣa (dry), paruṣa (rough), tanu (thin)

Associated symptoms – severe pain

Sadhya / sadyata – Difficult to cure

Fig.1: Kapāla resembling with actinic keratosis non hypertrophic

 

Fig. 1a: Kapāla resembling with tuberculoid leprosy

 

2.Udumbara kushtha

दाहकण्डूरुजारागपरीतं लोमपिञ्जरम्| उदुम्बरफलाभासं कुष्ठमौदुम्बरं विदुः||१५||

dāhakaṇḍūrujārāgaparītaṁ lōmapiñjaram| udumbaraphalābhāsaṁ kuṣṭhamaudumbaraṁ viduḥ||15||

dAhakaNDUrujArAgaparItaM lomapi~jjaram| udumbaraphalAbhAsaM kuShThamaudumbaraM viduH||15||

The clinical presentation of udumbara kushtha is as follows:

Color – Similar to udumbara fruit

Naturerāgaparīta (redness), lōmapiñjara (hair on the patch become brown)

Associated symptoms – burning sensation, pruritus and pain

Fig. 2 udumbara resembling with nodular leprosy of childhood

 

Fig. 2a udumbara resembling with dermatitis herpetiformis

 

Fig. 2b udumbara resembling with venous eczema

 

Fig. 2c udumbara resembling with dyshidrosis

 

3.Mandala Kushtha

श्वेतं रक्तं स्थिरं स्त्यानं स्निग्धमुत्सन्नमण्डलम्| कृच्छ्रमन्योन्यसंसक्तं कुष्ठं मण्डलमुच्यते||१६||

śvētaṁ raktaṁ sthiraṁ styānaṁ snigdhamutsannamaṇḍalam| kr̥cchramanyōnyasaṁsaktaṁ kuṣṭhaṁ maṇḍalamucyatē||16||

shvetaM raktaM sthiraM styAnaM snigdhamutsannamaNDalam| kRucchramanyonyasaMsaktaM kuShThaM maNDalamucyate||16||

The clinical features of mandala kushtha are as follows:

Color – white and red

Naturesthira (slow progress), styāna/ghana (compact), snigdha, elevated round patches

Associated symptoms – patches are matted

Sadhyasadhyata – Difficult to cure

Fig.3 Maṇḍala resembling with lepromatous leprosy

 

Fig. 3a Maṇḍala resembling with lepromatous leprosy

 

4.Rishyajivha Kushtha

कर्कशं रक्तपर्यन्तमन्तः श्यावं सवेदनम्| यदृष्यजिह्वासंस्थानमृष्यजिह्वं तदुच्यते||१७||

karkaśaṁ raktaparyantamantaḥ śyāvaṁ savēdanam| yadr̥ṣyajihvāsaṁsthānamr̥ṣyajihvaṁ taducyatē||17||

karkashaM raktaparyantamantaH shyAvaM savedanam| yadRuShyajihvAsaMsthAnamRuShyajihvaM taducyate||17||

The clinical features of rishyajivha kushtha are as follows:

ColorRakta paryanta anta śyāvaṁ (red in edges and brown inside)

Naturekarkaśa (rough), it resembles the tongue of rṣya (a type of deer with blue testicles Ca.Ci.7 / 17 Chakrapani)

Associated symptoms – pain

Fig. 4 R̥ṣyajihvā resembling with borderline lepromatous leprosy

 

Fig. 4a R̥ṣyajihvā resembling with Erythema migrans /erythematous rash in Lyme disease

 

5.Pundarika Kushtha

सश्वेतं रक्तपर्यन्तं पुण्डरीकदलोपमम्| सोत्सेधं च सदाहं च पुण्डरीकं तदुच्यते||१८||

saśvētaṁ raktaparyantaṁ puṇḍarīkadalōpāmām| sōtsēdhaṁ ca sadāhaṁ ca puṇḍarīkaṁ taducyatē||18||

sashvetaM raktaparyantaM puNDarIkadalopamam| sotsedhaM ca sadAhaM ca puNDarIkaM taducyate||18||

The clinical features of pundarika kushtha are as follows:

Color – White with red edges

Nature – resembles lotus petals, elevated patches

Associated symptoms – burning sensation

Fig. 5 Puṇḍarīka resembling with erythema multiforme

 

6.Sidhma Kushtha

श्वेतं ताम्रं तनु च यद्रजो [१] घृष्टं विमुञ्चति| अलाबूपुष्पवर्णं तत् सिध्मं प्रायेण चोरसि||१९||

śvētaṁ tāmraṁ tanu ca yadrajō [1] ghr̥ṣṭaṁ vimuñcati| alābūpuṣpavarṇaṁ tat sidhmaṁ prāyēṇa cōrasi||19||

shvetaM tAmraM tanu ca yadrajo [1] ghRuShTaM vimu~jcati| alAbUpuShpavarNaM tat sidhmaM prAyeNa corasi||19||

The clinical features of sidhma kushtha are as follows:

Color – white coppery, color resembles flower of alabu (lagenaria siceraria)

Nature – thin

Associated symptom – particles resembling dust are observed, it is located mostly on chest [due to dominance of kapha on ura pradesh Ca.Ci.7/19 Cakrapani].

Fig. 6 sidhma resembling with pityrasis alba

 

Fig 6a sidhma resembling with tinea versicolar

 

Fig 6b sidhma resembling with tinea versicolar

 

Fig. 6c sidhma resembling with pityrasis alba

 

7.Kakanaka Kushtha

यत् काकणन्तिकावर्णमपाकं तीव्रवेदनम्| त्रिदोषलिङ्गं तत् कुष्ठं काकणं नैव सिध्यति||२०||

yat kākaṇantikāvarṇamapākaṁ tīvravēdanam| tridōṣaliṅgaṁ tat kuṣṭhaṁ kākaṇaṁ naiva sidhyati||20||

yat kAkaNantikAvarNamapAkaM tIvravedanam| tridoShali~ggaM tat kuShThaM kAkaNaM naiva sidhyati||20||

The clinical features of Kākaṇaka kuṣṭha are as follows:

Color – resemble gunjā (abrus precatorious) i.e. red in color

Nature – does not get suppurated

Associated symptoms – Pain and incurable, all the three doshas are present

Fig 7 Kākaṇaka resembling with squamous cell carcinoma

 

Fig 8 Kākaṇaka resembling with squamous cell carcinoma

 

इति सप्तमहाकुष्ठानि

iti saptamahākuṣṭhāni

iti saptamahAkuShThAni

This ends the explanation of seven mahakushtha.[14-20]

Eleven kshudra kushtha

1.Eka kuṣṭha

अस्वेदनं महावास्तु यन्मत्स्यशकलोपमम्| तदेककुष्ठ

asvēdanaṁ mahāvāstu yanmatsyaśakalōpāmām| tadēkakuṣṭaṁ,

asvedanaM mahAvAstu yanmatsyashakalopamam| tadekakuShTaM,

The clinical features of eka kushtha are as follows:

Nature – resembles scales of fish

Location – Extensive

Fig 9 Eka kuṣṭha resembeling with ichthyosis vulgaris

 

Fig 9a Eka kuṣṭha resembeling with ichthyosis vulgaris

 

2.Charmakhya Kushtha

चर्माख्यं बहलं हस्तिचर्मवत्||२१||

carmākhyaṁ bahalaṁ hasticarmavat||21||

carmAkhyaM bahalaM hasticarmavat||21||

The clinical features of charmakhya are as follows:

Nature – skin is thick resembling elephant skin

Fig 10 carmākhya resembling to scleroderma

 

Fig 10a carmākhya resembling to elephant like skin

 

3.Kitibha Kushtha

श्यावं किणखरस्पर्शं परुषं किटिभं स्मृतम्|

śyāvaṁ kiṇakharasparśaṁ paruṣaṁ kiṭimaṁ smr̥tam|

shyAvaM kiNakharasparshaM paruShaM kiTimaM smRutam|

The clinical features of are as follows:

Color – It is blackish brown

Nature – Rough similar to scar tissue and hard to touch

Touch similar to the granulation process in wound.

Fig 11 Kiṭibha resembeling with psoriasis

 

Fig 11a Kiṭibha resembeling with lichen sclerosus

 

4.Vaipadika Kushtha

वैपादिकं पाणिपादस्फुटनं तीव्रवेदनम्||२२||

vaipādikaṁ pāṇipādasphuṭanaṁ tīvravēdanam||22||

vaipAdikaM pANipAdasphuTanaM tIvravedanam||22||

The clinical features are as follows:

Location – Hand and legs

Nature – cracks in palms and sole

Associated symptoms – severe / excruciating pain

Fig 12 Vaipādika resembeling with anhidrosis

Fig 12a Vaipādika resembeling with dermatitis

Fig 12b Vaipādika resembeling with eczema

5.Alasaka Kuṣhtha

कण्डूमद्भिः सरागैश्च गण्डैरलसकं चितम्|

kaṇḍūmadbhiḥ sarāgaiśca gaṇḍairalasakaṁ citam|

kaNDUmadbhiH sarAgaishca gaNDairalasakaM citam|

The clinical features are as follows:

Nature – Nodules

Associated symptoms – Pruritus

Color – redness

Fig 13 alasaka resembeling with dermatosis neglecta

Fig 13a alasaka resembeling with prurigo nodularis

6.Dadru Kushtha

सकण्डूरागपिडकं दद्रुमण्डलमुद्गतम्||२३||

sakaṇḍūrāgapiḍakaṁ dadrumaṇḍalamudgatam||23||

sakaNDUrAgapiDakaM dadrumaNDalamudgatam||23||

The clinical features are as follows:

Color – redness

Nature – Elevated circular patch with pidaka

Associated symptoms – Itching

Fig 14 dadru / ringworm

Fig 14a dadruresembeling with ringworm

7.Charmadala Kushtha

रक्तं [१] सकण्डु सस्फोटं सरुग्दलति चापि यत्| तच्चर्मदलमाख्यातं संस्पर्शासहमुच्यते||२४||

raktaṁ [1] sakaṇḍu sasphōṭaṁ sarugdalati cāpi yat| taccarmadalamākhyātaṁ saṁsparśāsahamucyatē||24||

raktaM [1] sakaNDu sasphoTaM sarugdalati cApi yat| taccarmadalamAkhyAtaM saMsparshAsahamucyate||24||

The clinical features are as follows:

Color – Redness

Nature – pustules, cracks in skin which are crusted

Associated symptoms – Itching

Fig. 15. Charmadala resembeling with atheletics foot

8.Pāmā kuṣṭha

पामाश्वेतारुणश्यावाः कण्डूलाः पिडका भृशम्| pāmāśvētāruṇaśyāvāḥ kaṇḍūlāḥ piḍakā bhr̥śam| pAmAshvetAruNashyAvAH kaNDUlAH piDakA bhRusham|

The clinical features are as follows: Colour – white, reddish, brownish blackish Nature – Itching Associated symptoms –piḍakā (erruptions)

Fig. 16. Pāmā resembeling with scabies

9. Visphōṭa kuṣṭha

स्फोटाः श्वेतारुणाभासो विस्फोटाः स्युस्तनुत्वचः||२५|| sphōṭāḥ śvētāruṇābhāsō visphōṭāḥ syustanutvacāḥ||25|| sphoTAH shvetAruNAbhAso visphoTAH syustanutvacaH||25||

The clinical features are as follows: Colour – white reddish in appearance Nature – erruptions and pustules with thin skin

Fig17 Visphōṭa resembeling with herpetic folliculitis

10.Śatāru kuṣṭha

रक्तं श्यावं सदाहार्ति शतारुः स्याद्बहुव्रणम्| raktaṁ śyāvaṁ sadāhārti śatāruḥ syādbahuvraṇam| raktaM shyAvaM sadAhArti shatAruH syAdbahuvraNam|

The clinical features are as follows: Colour – reddish, blackish Nature – ulcerated Associated symptoms – burning sensation and pain

Fig. 18 Śatāru resembeling with furuncle

Fig. 18a Śatāru resembeling with furuncle

11.Vicārcikā kuṣṭha

सकण्डूः पिडका श्यावा बहुस्रावा विचर्चिका||२६|| sakaṇḍūḥ piḍakā śyāvā bahusrāvā vicārcikā||26|| sakaNDUH piDakA shyAvA bahusrAvA vicarcikA||26||

The clinical features are as follows: Colour – blackish brown Nature – excessive exudation, erruptions Associated symptoms – pruritus

Fig. 19 Vicārcikā resembeling with wet eczema

इत्येकादश क्षुद्रकुष्ठानि ityēkādaśa kṣudrakuṣṭhāni ityekAdasha kShudrakuShThAni This ends the explanation of 11 ksudrakuṣṭha.(21-26)

Dosha dominance in types of kushtha

वातेऽधिकतरे कुष्ठं कापालं मण्डलं कफे| पित्ते त्वौदुम्बरं विद्यात् काकणं तु त्रदोषजम्||२७|| वातपित्ते श्लेष्मपित्ते वातश्लेष्मणि चाधिके| ऋष्यजिह्वं पुण्डरीकं सिध्मकुष्ठं च जायते||२८|| चर्माख्यमेककुष्ठं च किटिमं सविपादिकम्| कुष्ठं चालसकं ज्ञेयं प्रायो वातकफाधिकम्||२९|| पामा शतारुर्विस्फोटं दद्रुश्चर्मदलं तथा| पित्तश्लेष्माधिकं प्रायः कफप्राया विचर्चिका||३०|| vātē'dhikatarē kuṣṭhaṁ kāpālaṁ maṇḍalaṁ kaphē| pittē tvaudumbaraṁ vidyāt kākaṇaṁ tu tradōṣajam||27|| vātapittē ślēṣmapittē vātaślēṣmaṇi cādhikē| r̥ṣyajihvaṁ puṇḍarīkaṁ sidhmakuṣṭhaṁ ca jāyatē||28|| carmākhyamēkakuṣṭhaṁ ca kiṭimaṁ savipādikam| kuṣṭhaṁ cālasakaṁ jñēyaṁ prāyō vātakaphādhikam||29|| pāmā śatārurvisphōṭaṁ dadruścarmadalaṁ tathā| pittaślēṣmādhikaṁ prāyaḥ kaphaprāyā vicārcikā||30|| vAte~adhikatare kuShThaM kApAlaM maNDalaM kaphe| pitte tvaudumbaraM vidyAt kAkaNaM tu tradoShajam||27|| vAtapitte shleShmapitte vAtashleShmaNi cAdhike| RuShyajihvaM puNDarIkaM sidhmakuShThaM ca jAyate||28|| carmAkhyamekakuShThaM ca kiTimaM savipAdikam| kuShThaM cAlasakaM j~jeyaM prAyo vAtakaphAdhikam||29|| pAmA shatArurvisphoTaM dadrushcarmadalaM tathA| pittashleShmAdhikaM prAyaH kaphaprAyA vicarcikA||30|| The dosha dominance in types of kushtha is as enlisted below:

                  Predominant dōsha                  Disease
                  Vāta                                        Kapāla
                  Kapha                                     Maṇḍala    
                  Pitta                                       Udumbar
                 Tridosha                                    Kākaṇaka
                 Vāta Pitta                                Rṣyajihva
                 Kapha Pitta                             Puṇḍarīka
                 Vāta Kapha                             Sidhma
                 Vāta Kapha                            Carmākhya, Ekkuṣṭha, Kiṭibha, 
                             	         Vipādikā, Alasaka
                 Pitta kapha                             Pāmā, Śatāru, Visphōṭaka, Dadru, Charmadala
                 Kapha                	         Vichārchikā

General guidelines for diagnosis

सर्वं त्रिदोषजं कुष्ठं दोषाणां तु बलाबलम्| यथास्वैर्लक्षणैर्बुद्ध्वा कुष्ठानां क्रियते क्रिया||३१|| दोषस्य यस्य पश्येत् कुष्ठेषु विशेषलिङ्गमद्रिक्तम्| तस्यैव शमं कुर्यात्ततः परं चानुबन्धस्य||३२||

sarvaṁ tridōṣajaṁ kuṣṭhaṁ dōṣāṇāṁ tu balābalam| yathāsvairlakṣaṇairbuddhvā kuṣṭhānāṁ kriyatē kriyā||31|| dōṣaya yasya paśyēt kuṣṭhēṣu viśēṣaliṅgamadriktam| tasyaiva śamaṁ kuryāttataḥ paraṁ cānubandhasya||32|| sarvaM tridoShajaM kuShThaM doShANAM tu balAbalam| yathAsvairlakShaNairbuddhvA kuShThAnAM kriyate kriyA||31|| doShasya yasya pashyet kuShTheShu visheShali~ggamadriktam| tasyaiva shamaM kuryAttataH paraM cAnubandhasya||32||

Tridōsha are involved in pathogenesis of all types of kuṣṭha. Depending on dōsha predominancy symptoms are manifested and treatment should be decided on the basis of symptoms shown in specific kuṣṭha. The dōsha presenting important and specific symptoms should be alleviated firstly followed by the treatment of associated dōsha.(31-32)

कुष्ठविशेषैर्दोषा दोषविशेषैः पुनश्च कुष्ठानि| ज्ञायन्ते तैर्हेतुर्हेतुस्तांश्च [१] प्रकाशयति||३३|| kuṣṭhaviśēṣairdōṣā dōṣaviśēṣaiḥ punaśca kuṣṭhāni| jñāyantē tairhēturhētustāṁśca [1] prakāśayati||33|| kuShThavisheShairdoShA doShavisheShaiH punashca kuShThAni| j~jAyante tairheturhetustAMshca [1] prakAshayati||33|| Specific kuṣṭha determine the predominancy of specific dōsha and viceversa is also true i.e. predominancy of dōsha determines the specific type of kuṣṭha. Similarly specific symptoms determine the causative factors vice versa causative factors determine the specific symptoms.(33)

Dosha specific features of diagnosis of dosha dominance in kushtha

रौक्ष्यं शोषस्तोदः शूलं सङ्कोचनं तथाऽऽयामः| पारुष्यं खरभावो हर्षः श्यावारुणत्वं च||३४|| कुष्ठेषु वातलिङ्गं, दाहो रागः परिस्रवः पाकः| विस्रो गन्धः क्लेदस्तथाऽङ्गपतनं च पित्तकृतम्||३५|| श्वैत्यं शैत्यं कण्डूः स्थैर्यं चोत्सेधगौरवस्नेहाः| कुष्ठेषु तु कफलिङ्गं जन्तुभिरभिभक्षणं क्लेदः||३६|| raukṣyaṁ śōṣastōdaḥ śūlaṁ saṅkōcanaṁ tathāyāmaḥ| pāruṣyaṁ kharabhāvō harṣaḥ śyāvāruṇatvaṁ ca||34|| kuṣṭhēṣu vātaliṅgaṁ, dāhō rāgaḥ parisravaḥ pākaḥ| visrō gandhaḥ klēdastathā'ṅgapatanaṁ ca pittakr̥tam||35|| śvaityaṁ śaityaṁ kaṇḍūḥ sthairyaṁ cōtsēdhagauravasnēhāḥ| kuṣṭhēṣu tu kaphaliṅgaṁ jantubhirabhibhakṣaṇaṁ klēdaḥ||36|| raukShyaM shoShastodaH shUlaM sa~gkocanaM tathA~a~ayAmaH| pAruShyaM kharabhAvo harShaH shyAvAruNatvaM ca||34|| kuShTheShu vAtali~ggaM, dAho rAgaH parisravaH pAkaH| visro gandhaH kledastathA~a~ggapatanaM ca pittakRutam||35|| shvaityaM shaityaM kaNDUH sthairyaM cotsedhagauravasnehAH| kuShTheShu tu kaphali~ggaM jantubhirabhibhakShaNaM kledaH||36|| Symptoms due to doṣha predominancy - Dryness, atrophy, pricking pain / paraesthesia, pain, constriction or loss of elasticity, hardness, roughness, horripilation, blackish, brownish, slight reddish in colour are manifestation of vata dosha. Burning sensation, redness, exudation, suppuration, offensive smell, stickiness / moist and sloughing of body parts are the symptoms caused by predominancy of pitta dosha.

Kapha dosha is responsible for symptoms like whitish discolouration, cold in touch, pruritus, non-progressive / slow progression of disease, elevated; heaviness and oiliness are presented alongwith maggot’s formation and stickiness like symptoms.(34-36)

Prognosis

सर्वैर्लिङ्गैर्युक्तं मतिमान् विवर्जयेदबलम्| तृष्णादाहपरीतं शान्ताग्निं जन्तुभिर्जग्धम्||३७|| वातकफप्रबलं यद्यदेकदोषोल्बणं न तत् कृच्छ्रम्| कफपित्त-वातपित्तप्रबलानि तु कृच्छ्रसाध्यानि||३८|| sarvairliṅgairyuktaṁ matimān vivarjayēdabalam| tr̥ṣṇādāhaparītaṁ śāntāgniṁ jantubhirjagdham||37|| vātakaphaprabalaṁ yadyadēkadōṣōlbaṇaṁ na tat kr̥cchram| kaphapitta-vātapittaprabalāni tu kr̥cchrasādhyāni||38|| sarvairli~ggairyuktaM matimAn vivarjayedabalam| tRuShNAdAhaparItaM shAntAgniM jantubhirjagdham||37|| vAtakaphaprabalaM yadyadekadoSholbaNaM na tat kRucchram| kaphapitta-vAtapittaprabalAni tu kRucchrasAdhyAni||38|| If all the symptoms are simultaneously observed, in weak (immune-compromised) patient, suffering from morbid thirst, burning sensation, loss of digestive power and presence of maggots then the intelligent person should avoid treatment (as it is incurable). Further vāta kapha predominated kuṣṭha and single dosha predominated kuṣṭha are not so difficult to treat. Whereas kapha pitta and vāta pitta dominated kuṣṭha are kr̥cchra sadhya i.e. curable, but with efforts. (37-38)

Principles of management

वातोत्तरेषु सर्पिर्वमनं श्लेष्मोत्तरेषु कुष्ठेषु| पित्तोत्तरेषु मोक्षो रक्तस्य विरेचनं चाग्रे||३९|| vātōttarēṣu sarpirvamanaṁ ślēṣmōttarēṣu kuṣṭhēṣu| pittōttarēṣu mōkṣō raktasya virēcanaṁ cāgrē||39||

vAtottareShu sarpirvamanaM shleShmottareShu kuShTheShu| pittottareShu mokSho raktasya virecanaM cAgre||39|| In vātaja kuṣṭha, firstly administer ghr̥itapana, whereas in kaphaja kuṣṭha vamana procedure should be done and in pittaja kuṣṭha, virechana alongwith raktamokshana should be first line of treatment.(39)

वमनविरेचनयोगाः कल्पोक्ताः कुष्ठिनां प्रयोक्तव्याः| प्रच्छनमल्पे कुष्ठे महति च शस्तं सिराव्यधनम्||४०|| vamanavirēcanayōgāḥ kalpōktāḥ kuṣṭhināṁ prayōktavyāḥ| pracchanamalpē kuṣṭhē mahati ca śastaṁ sirāvyadhanam||40|| vamanavirecanayogAH kalpoktAH kuShThinAM prayoktavyAH| pracchanamalpe kuShThe mahati ca shastaM sirAvyadhanam||40||

For vamana and virechana drugs mentioned in kalpasthana should be used. Prachhan karma i.e. blood letting by rubbing with coarse device should be carried out if dushya dushti is less and venesection should be carried out in condition where dosha dusya dusti is strong.(40) बहुदोषः संशोध्यः कुष्ठी बहुशोऽनुरक्षता प्राणान्| दोषे ह्यतिमात्रहृते वायुर्हन्यादबलमाशु||४१|| bahudōṣaḥ saṁśōdhyaḥ kuṣṭhī bahuśō'nurakṣatā prāṇān| dōṣē hyatimātrahr̥tē vāyurhanyādabalamāśu||41|| bahudoShaH saMshodhyaH kuShThI bahusho~anurakShatA prANAn| doShe hyatimAtrahRute vAyurhanyAdabalamAshu||41|| Patients with excessive vitiated dosha should be given shodhan therapy repeatedly; taking care about their prana (strength). Excessive alimination of dosha may increase vāta dosha which may bring about weakness and in rare condition endanger the life of patient.(41)

स्नेहस्य पानमिष्टं शुद्धे कोष्ठे प्रवाहिते रक्ते| वायुर्हि शुद्धकोष्ठं कुष्ठिनमबलं विशति शीघ्रम्||४२|| snēhasya pānamiṣṭaṁ śuddhē kōṣṭhē pravāhitē raktē| vāyurhi śuddhakōṣṭhaṁ kuṣṭhinamabalaṁ viśati śīghram||42|| snehasya pAnamiShTaM shuddhe koShThe pravAhite rakte| vAyurhi shuddhakoShThaM kuShThinamabalaM vishati shIghram||42|| After shodhana and letting of blood, sneha should be administered since after shodhan, vāta dosha enters the shudha kosṭha of patient and is cause for immediate bala kshaya.(42)

Various formulations

दोषोत्क्लिष्टे हृदये वाम्यः कुष्ठेषु चोर्ध्वभागेषु| कुटजफलमदनमधुकैः सपटोलैर्निम्बरसयुक्तैः||४३|| शीतरसः पक्वरसो मधूनि मधुकं च वमनानि| dōṣōtkliṣṭē hr̥dayē vāmyaḥ kuṣṭhēṣu cōrdhvabhāgēṣu| kuṭajaphalamadanamadhukaiḥ sapaṭōlairnimbarasayuktaiḥ||43|| śītarasaḥ pakvarasō madhūni madhukaṁ ca vamanāni| doShotkliShTe hRudaye vAmyaH kuShTheShu cordhvabhAgeShu| kuTajaphalamadanamadhukaiH sapaTolairnimbarasayuktaiH||43|| shItarasaH pakvaraso madhUni madhukaM ca vamanAni|

If dosha are utkliṣṭa and located in hridaya or kuṣṭha is manifested in the upperpart of body, then vaman should be administered with help of fruit of kuṭaja, madanaphala and madhuka alongwith juice of paṭōla and nimba. Śīta rasa (cold effusion), pakva rasa(decoction), honey and madhuka should be used for vamana.(43)

कुष्ठेषु त्रिवृता दन्ती त्रिफला च विरेचने शस्ता||४४|| सौवीरकं तुषोदकमालोडनमासवाश्च सीधूनि| शंसन्त्यधोहराणां यथाविरेकं क्रमश्चेष्टः||४५|| kuṣṭhēṣu trivr̥tā dantī triphalā ca virēcanē śastā||44|| sauvīrakaṁ tuṣōdakamālōḍanamāsavāśca sīdhūni| śaṁsantyadhōharāṇāṁ yathāvirēkaṁ kramaścēṣṭaḥ||45|| kuShTheShu trivRutA dantI triphalA ca virecane shastA||44|| sauvIrakaM tuShodakamAloDanamAsavAshca sIdhUni| shaMsantyadhoharANAM yathAvirekaM kramashceShTaH||45||

Trivr̥tā, dantī and triphala are to be used for virechan in kuṣṭha. Sauvīraka, tuṣōdaka, ālōḍana, āsava, sīdhu are types of aushadi kalpana to be used in virechan. Further sansarjan karma should be followed as per order. (44-45)

दार्वीबृहतीसेव्यैः पटोलपिचुमर्दमदनकृतमालैः| सस्नेहैरास्थाप्यः कुष्ठी सकलिङ्गयवमुस्तैः||४६|| वातोल्बणं विरिक्तं निरूढमनुवासनार्हमालक्ष्य| फलमधुकनिम्बकुटजैः सपटोलैः साधयेत्स्नेहम्||४७|| dārvībr̥hatīsēvyaiḥ paṭōlapicumardamadanakr̥tamālaiḥ| sasnēhairāsthāpyaḥ kuṣṭhī sakaliṅgayavamustaiḥ||46|| vātōlbaṇaṁ viriktaṁ nirūḍhamanuvāsanārhamālakṣya| phalamadhukanimbakuṭajaiḥ sapaṭōlaiḥ sādhayētsnēham||47|| dArvIbRuhatIsevyaiH paTolapicumardamadanakRutamAlaiH| sasnehairAsthApyaH kuShThI sakali~ggayavamustaiH||46|| vAtolbaNaM viriktaM nirUDhamanuvAsanArhamAlakShya| phalamadhukanimbakuTajaiH sapaTolaiH sAdhayetsneham||47||

Dārvi, br̥hatī, paṭōla, pichumarda, madanphala, kr̥tamāla, kaliṅga, yava and musta should be used along with sneha for āsthāpana. After virechan and āsthāpana basti still if there is excess of vāta than give anuvāsana basti should be given. In such condition sneha fortified with madanaphala, madhuka, nimba, kuṭaja, and paṭōla should be used. (46-47)

सैन्धवदन्तीमरिचं फणिज्झकः पिप्पली करञ्जफलम्| नस्यं स्यात्सविडङ्गं क्रिमिकुष्ठकफप्रकोपघ्नम् [१] ||४८|| वैरेचनिकैर्धूमैः श्लोकस्थानेरितैः प्रशाम्यन्ति| कृमयः कुष्ठकिलासाः प्रयोजितैरुत्तमाङ्गस्थाः||४९|| saindhavadantīmaricaṁ phaṇijjhakaḥ pippalī karañjaphalam| nasyaṁ syātsaviḍaṅgaṁ kr̥mi kuṣṭhakaphaprakōpaghnam [1] ||48|| vairēcanikairdhūmaiḥ ślōkasthānēritaiḥ praśāmyanti| kr̥mayaḥ kuṣṭhakilāsāḥ prayōjitairuttamāṅgasthāḥ||49|| saindhavadantImaricaM phaNijjhakaH pippalI kara~jjaphalam| nasyaM syAtsaviDa~ggaM krimikuShThakaphaprakopaghnam [1] ||48|| vairecanikairdhUmaiH shlokasthAneritaiH prashAmyanti| kRumayaH kuShThakilAsAH prayojitairuttamA~ggasthAH||49||

Saindhava, dantī, maricha, phaṇijjhaka, pippali, fruit of karañja and viḍaṅga should be used for nasya especially in case of kr̥mi and kapha pradhan kuṣṭha. Drugs mentioned in sutrasthan for vairēcanika dhuma should be used in kr̥mija kuṣṭha and kilāsa and also disease affecting the upperpart of the body. (48-49)

स्थिरकठिनमण्डलानां स्विन्नानां प्रस्तरप्रणाडीभिः| कूर्चैर्विघट्टितानां रक्तोत्क्लेशोऽपनेतव्यः||५०|| sthirakaṭhinamaṇḍalānāṁ svinnānāṁ prastarapraṇāḍībhiḥ| kūrcairvighaṭṭitānāṁ raktōtklēśō'panētavyaḥ||50|| sthirakaThinamaNDalAnAM svinnAnAM prastarapraNADIbhiH| kUrcairvighaTTitAnAM raktotklesho~apanetavyaH||50|| If the patches are stable and hard, then give foementation by prastara sweda or nadi sweda method and later on with the help of kūrcha (a surgical instrument) scrub the patches so that there is increased flow of rakta in that specific area alongwith blood letting.(50)

Local treatments

आनूपवारिजानां मांसानां पोट्टलैः सुखोष्णैश्च| स्विन्नोत्सन्नं [१] विलिखेत् कुष्ठं तीक्ष्णेन शस्त्रेण||५१|| रुधिरागमार्थमथवा शृङ्गालाबूनि [२] योजयेत् कुष्ठे| प्रच्छितमल्पं कुष्ठं विरेचयेद्वा जलौकोभिः||५२|| ये लेपाः कुष्ठानां युज्यन्ते निर्हृतास्रदोषाणाम्| संशोधिताशयानां सद्यः सिद्धिर्भवेत्तेषाम्||५३||

ānūpavārijānāṁ māṁsānāṁ pōṭṭalaiḥ sukhōṣṇaiśca| svinnōtsannaṁ [1] vilikhēt kuṣṭhaṁ tīkṣṇēna śastrēṇa||51|| rudhirāgamārthamathavā śr̥ṅgālābūni [2] yōjayēt kuṣṭhē| pracchitamalpaṁ kuṣṭhaṁ virēcayēdvā jalaukōbhiḥ||52|| yē lēpāḥ kuṣṭhānāṁ yujyantē nirhr̥tāsradōṣāṇām| saṁśōdhitāśayānāṁ sadyaḥ siddhirbhavēttēṣām||53|| AnUpavArijAnAM mAMsAnAM poTTalaiH sukhoShNaishca| svinnotsannaM [1] vilikhet kuShThaM tIkShNena shastreNa||51|| rudhirAgamArthamathavA shRu~ggAlAbUni [2] yojayet kuShThe| pracchitamalpaM kuShThaM virecayedvA jalaukobhiH||52|| ye lepAH kuShThAnAM yujyante nirhRutAsradoShANAm| saMshodhitAshayAnAM sadyaH siddhirbhavetteShAm||53||

If the patches are elevated then swedan with lukewarm poultice of meat of acquatic animals should be followed by scrubbing with sharp edge surgical instrument for blood letting. For blood letting śr̥ṅgā (horn), alābu (gourd) may be used. Especially in alpa kuṣṭha, prachan, virechan and/or use of jaluka should be done. Lepa explained in kuṣṭha become efficient if applied after raktamokshana and other shodhan procedures. (51-53)

येषु न शस्त्रं क्रमते स्पर्शेन्द्रियनाशनानि यानि स्युः| तेषु निपात्यः क्षारो रक्तं दोषं च विस्राव्य||५४|| पाषाणकठिनपरुषे सुप्ते कुष्ठे स्थिरे पुराणे च| पीतागदस्य कार्यो विषैः प्रदेहोऽगदैश्चानु||५५|| स्तब्धानि सुप्तसुप्तान्यस्वेदनकण्डुलानि कुष्ठानि| कूर्चैर्दन्तीत्रिवृताकरवीरकरञ्जकुटजानाम्||५६|| जात्यर्कनिम्बजैर्वा पत्रैः शस्त्रैः समुद्रफेनैर्वा| घृष्टानि गोमयैर्वा ततः प्रदेहैः प्रदेह्यानि||५७|| yēṣu na śastraṁ kramatē sparśēndriyanāśanāni yāni syuḥ| tēṣu nipātyaḥ kṣārō raktaṁ dōṣaṁ ca visrāvya||54|| pāṣāṇakaṭhinaparuṣē suptē kuṣṭhē sthirē purāṇē ca| pītāgadasya kāryō viṣaiḥ pradēhō'gadaiścānu||55|| stabdhāni suptasuptānyasvēdanakaṇḍulāni kuṣṭhāni| kūrcairdantītrivr̥tākaravīrakarañjakuṭajānām||56|| jātyarkanimbajairvā patraiḥ śastraiḥ samudraphēnairvā| ghr̥ṣṭāni gōmayairvā tataḥ pradēhaiḥ pradēhyāni||57|| yeShu na shastraM kramate sparshendriyanAshanAni yAni syuH| teShu nipAtyaH kShAro raktaM doShaM ca visrAvya||54|| pAShANakaThinaparuShe supte kuShThe sthire purANe ca| pItAgadasya kAryo viShaiH pradeho~agadaishcAnu||55|| stabdhAni suptasuptAnyasvedanakaNDulAni kuShThAni| kUrcairdantItrivRutAkaravIrakara~jjakuTajAnAm||56|| jAtyarkanimbajairvA patraiH shastraiH samudraphenairvA| ghRuShTAni gomayairvA tataH pradehaiH pradehyAni||57|| When there is loss of sensation and/or surgical interventions is prohibited, kṣāra should be used after rakta and dosha are eliminated. If kuṣṭha is hard like stone with numbness, it is stable (not spreading) and chronic in such cases antidotes should be given internally prior to the application of poison in the form of lepa followed by application of antidote. If there is numbness around the patch of kuṣṭha associated with complete loss of sensation alongwith anhidrosis, and pruritus then for scrubbing in such condition brush (kūrca) prepared from dantī, trivr̥tā, karavīra, karañja, kuṭaja or leaves of jāti, arka, nimba or surgical instruments, samudra phena, dried cowdung should be used followed by application of lepa. (54-57)

मारुतकफकुष्ठघ्नं कर्मोक्तं पित्तकुष्ठिनां कार्यम्| कफपित्तरक्तहरणं तिक्तकषायैः प्रशमनं च||५८|| सर्पींषि तिक्तकानि च यच्चान्यद्रक्तपित्तनुत् [१] कर्म| बाह्याभ्यन्तरमग्र्यं तत् कार्यं पित्तकुष्ठेषु||५९|| mārutakaphakuṣṭhaghnaṁ karmōktaṁ pittakuṣṭhināṁ kāryam| kaphapittaraktaharaṇaṁ tiktakaṣāyaiḥ praśamanaṁ ca||58|| sarpīṁṣi tiktakāni ca yaccānyadraktapittanut [1] karma| bāhyābhyantaramagryaṁ tat kāryaṁ pittakuṣṭhēṣu||59|| mArutakaphakuShThaghnaM karmoktaM pittakuShThinAM kAryam| kaphapittaraktaharaNaM tiktakaShAyaiH prashamanaM ca||58|| sarpIMShi tiktakAni ca yaccAnyadraktapittanut [1] karma| bAhyAbhyantaramagryaM tat kAryaM pittakuShTheShu||59|| In Pittaja kuṣṭha line of treatment followed in vāta kaphaj kuṣṭha should be followed alongwith kapha, pitta and rakta should be elimated and tikta (bitter), kaṣāya (astringent) drugs are to be used for pacifying the dosha. Ghee fortified with tikta (bitter) drugs and line of treatment of raktapitta should be followed internally and externally for treatment of pittaj kuṣṭha. (58-59)

दोषाधिक्यविभागादित्येतत् कर्म कुष्ठनुत् प्रोक्तम्| वक्ष्यामि कुष्ठशमनं प्रायस्त्वग्दोषसामान्यात्||६०|| dōṣādhikyavibhāgādityētat karma kuṣṭhanut prōktam| vakṣyāmi kuṣṭhaśamanaṁ prāyastvagdōṣaāmānyāt||60|| doShAdhikyavibhAgAdityetat karma kuShThanut proktam| vakShyAmi kuShThashamanaM prAyastvagdoShasAmAnyAt||60||

Treatment of different kuṣṭha categorized on basis of aggravated dosha has been explained henceforth treatment for pacifying of kuṣṭha is being explained wherein defect in skin is general symptom. (60) दार्वी रसाञ्जनं वा गोमूत्रेण प्रबाधते कुष्ठम्| अभया प्रयोजिता वा मासं सव्योषगुडतैला||६१|| dārvī rasāñjanaṁ vā gōmūtrēṇa prabādhatē kuṣṭham| abhayā prayōjitā vā māsaṁ savyōṣaguḍatailā||61|| dArvI rasA~jjanaM vA gomUtreNa prabAdhate kuShTham| abhayA prayojitA vA mAsaM savyoShaguDatailA||61||

Dārvi or rasāñjan alongwith cow’s urine helps in treatment of kuṣṭha. Similarly haritaki alongwith trikatu or guda and taila for period of one month is helpful. (61)

मूलं पटोलस्य तथा गवाक्ष्याः पृथक् पलांशं त्रिफलात्वचश्च [१] | स्यात्त्रायमाणा कटुरोहिणी च भागार्धिका नागरपादयुक्ता||६२|| पलं तथैषां सह चूर्णितानां जले शृतं दोषहरं पिबेन्ना| जीर्णे रसैर्धन्वमृगद्विजानां पुराणशाल्योदनमाददीत||६३|| कुष्ठानि शोफं ग्रहणीप्रदोषमर्शांसि कृच्छ्राणि हलीमकं च| षड्रात्रयोगेन निहन्ति चैष हृद्बस्तिशूलं विषमज्वरं च||६४|| mūlaṁ paṭōlasya tathā gavākṣyāḥ pr̥thak palāṁśaṁ triphalātvacāśca [1] | syāttrāyamāṇā kaṭurōhiṇī ca bhāgārdhikā nāgarapādayuktā||62|| palaṁ tathaiṣāṁ saha cūrṇitānāṁ jalē śr̥taṁ dōṣaharaṁ pibēnnā| jīrṇē rasairdhanvamr̥gadvijānāṁ purāṇaśālyōdanamādadīta||63|| kuṣṭhāni śōphaṁ grahaṇīpradōṣamarśāṁsi kr̥cchrāṇi halīmakaṁ ca| ṣaḍrātrayōgēna nihanti caiṣa hr̥dbastiśūlaṁ viṣamajvaraṁ ca||64|| mUlaM paTolasya tathA gavAkShyAH pRuthak palAMshaM triphalAtvacashca [1] | syAttrAyamANA kaTurohiNI ca bhAgArdhikA nAgarapAdayuktA||62|| palaM tathaiShAM saha cUrNitAnAM jale shRutaM doShaharaM pibennA| jIrNe rasairdhanvamRugadvijAnAM purANashAlyodanamAdadIta||63|| kuShThAni shophaM grahaNIpradoShamarshAMsi kRucchrANi halImakaM ca| ShaDrAtrayogena nihanti caiSha hRudbastishUlaM viShamajvaraM ca||64||

One pala of root of paṭōla and gavākṣi, contents of triphala (haritaki, bibhataki and amalaki) taken separately in one pala quantity each. Trāyamāṇ and katuki in quantity of 6 sanas and 4 sana of sunthi, should be taken together. One pala of this combination should be boiled in water and administered for elimination of dosha. After the combination has been digested by jatharagni of patient, soup of animal and birds residing in arid land alongwith old shali type of rice should be given. The preparation when administered for 6 days cures kuṣṭha, shoth, grahani, arsha, mutrakricha, halimaka, chest pain and pain in bladder region along with viṣama jwara. (62-64)

Mustadi churna

मुस्तं व्योषं त्रिफला मञ्जिष्ठा दारु पञ्चमूल्यौ द्वे| सप्तच्छदनिम्बत्वक् सविशालश्चित्रको मूर्वा||६५|| चूर्णं तर्पणभागैर्नवभिः संयोजितं समध्वाज्यम् [१] | सिद्धं कुष्ठनिबर्हणमेतत् प्रायोगिकं भक्ष्यम्||६६|| श्वयथुं सपाण्डुरोगं श्वित्रं ग्रहणीप्रदोषमर्शांसि| ब्रघ्नभगन्दरपिडकाकण्डूकोठांश्च विनिहन्ति||६७|| इति मुस्तादिचूर्ण

mustaṁ vyōṣaṁ triphalā mañjiṣṭhā dāru pañcamūlyau dvē| saptacchadanimbatvak saviśālaścitrakō mūrvā||65|| cūrṇaṁ tarpaṇabhāgairnavabhiḥ saṁyōjitaṁ samadhvājyam [1] | siddhaṁ kuṣṭhanibarhaṇamētat prāyōgikaṁ bhakṣyam||66|| śvayathuṁ sapāṇḍurōgaṁ śvitraṁ grahaṇīpradōṣamarśāṁsi| braghnabhagandarapiḍakākaṇḍūkōṭhāṁśca vinihanti||67|| iti mustādicūrṇam

mustaM vyoShaM triphalA ma~jjiShThA dAru pa~jcamUlyau dve| saptacchadanimbatvak savishAlashcitrako mUrvA||65|| cUrNaM tarpaNabhAgairnavabhiH saMyojitaM samadhvAjyam [1] | siddhaM kuShThanibarhaNametat prAyogikaM bhakShyam||66|| shvayathuM sapANDurogaM shvitraM grahaNIpradoShamarshAMsi| braghnabhagandarapiDakAkaNDUkoThAMshca vinihanti||67|| iti mustAdicUrNam

Musta, trikatu, triphala, mañjiṣṭhā, dāruharidra, two pañcamūla (brihat and laghu) saptacchada, bark of nimba, viśāla, citraka, mūrvā are taken in equal quantity and powdered together. This powder should be mixed with nine times of saktu and should be prescribed with honey and ghr̥ita. It is among the best treatment for kuṣṭha which should be given everyday. The combination is also useful in shoth, pāṇḍu, śvitra, grahaṇīdoṣa, arśa, braghna, bhagandar, piḍakā, kaṇḍū, kōṭhā. This ends the explanation of mustādicūrṇam.(65-67)

त्रिफलाफलातिविषाकटुकानिम्बकलिङ्गकवचापटोलानाम्| मागधिकारजनीद्वयपद्मकमूर्वाविशालानाम्||६८|| भूनिम्बपलाशानां दद्याद्विपलं ततस्त्रिवृद्द्विगुणा| तस्याश्च पुनर्ब्राह्मी तच्चूर्णं सुप्तिनुत् परमम्||६९|| triphalātiviṣākaṭukānimbakaliṅgakavacāpaṭōlānām| māgadhikārajanīdvayapadmakamūrvāviśālānām||68|| bhūnimbapalāśānāṁ dadyādvipalaṁ tatastrivr̥ddviguṇā| tasyāśca punarbrāhmī taccūrṇaṁ suptinut paramam||69|| triphalAtiviShAkaTukAnimbakali~ggakavacApaTolAnAm| mAgadhikArajanIdvayapadmakamUrvAvishAlAnAm||68|| bhUnimbapalAshAnAM dadyAdvipalaM tatastrivRuddviguNA| tasyAshca punarbrAhmI taccUrNaM suptinut paramam||69||

Triphala, ativiṣā, kaṭuki, nimba, kaliṅgaka, vacā, paṭōla, pippali, haridra, dāruharidra, padmaka, mūrvā, viśālā, bhūnimba and palāśa, all are taken in 2 pala quantity each (i.e. total 34 pala), double the total quantity of above churna (68 pala) trivr̥t is taken and double of trivr̥tā (136 pala) brahmi churna should be taken. It is a best combination for numbness.(68-69)

Benefits of lelitaka (sulphur)

लेलीतकप्रयोगो [१] रसेन जात्याः समाक्षिकः परमः| सप्तदशकुष्ठघाती माक्षिकधातुश्च मूत्रेण||७०|| lēlītakaprayōgō [1] rasēna jātyāḥ samākṣikaḥ paramaḥ| saptadaśakuṣṭhaghātī mākṣikadhātuśca mūtrēṇa||70|| lelItakaprayogo [1] rasena jAtyAH samAkShikaH paramaH| saptadashakuShThaghAtI mAkShikadhAtushca mUtreNa||70|| Lelitaka (Sulphur) when administered with juice of jāti (āmalaki) alongwith honey is beneficial in 17 types of kuṣṭha. Similarly use of makshika (copper pyrite) with cows’ urine too is very beneficial. (70)

श्रेष्ठं [२] गन्धकयोगात् सुवर्णमाक्षिकप्रयोगाद्वा| सर्वव्याधिनिबर्हणमद्यात् कुष्ठी रसं च निगृहीतम्||७१|| वज्रशिलाजतुसहितं सहितं वा योगराजेन| सर्वव्याधिप्रशमनमद्यात्कुष्ठी निगृह्य नित्यं च||७२|| śrēṣṭhaṁ [2] gandhakayōgāt suvarṇamākṣikaprayōgādvā| sarvavyādhinibarhaṇamadyāt kuṣṭhī rasaṁ ca nigr̥hītam||71|| vajraśilājatusahitaṁ sahitaṁ vā yōgarājēna| sarvavyādhipraśamanamadyātkuṣṭhī nigr̥hya nityaṁ ca||72|| shreShThaM [2] gandhakayogAt suvarNamAkShikaprayogAdvA| sarvavyAdhinibarhaNamadyAt kuShThI rasaM ca nigRuhItam||71|| vajrashilAjatusahitaM sahitaM vA yogarAjena| sarvavyAdhiprashamanamadyAtkuShThI nigRuhya nityaM ca||72||

Gandhaka (Sulphur) and/or suvarṇamākṣika when used for processing of rasa (mercury) acts as the best medicine in treatment of all disease especially kuṣṭha. Similarly kuṣṭha patient should regularly consume parada (mercury) with vajra śilājatu or yogaraj which helps in curing of all diseases. (71-72)

Madhvasava

खदिरसुरदारुसारं श्रपयित्वा तद्रसेन तोयार्थः| क्षौद्रप्रस्थे कार्यः कार्ये ते चाष्टपलिके च||७३|| तत्राश्चूर्णानामष्टपलं प्रक्षिपेत्तथाऽमूनि| त्रिफलैले त्वङ्मरिचं पत्रं कनकं च कर्षांशम्||७४|| मत्स्यण्डिका मधुसमा तन्मासं जातमायसे भाण्डे| मध्वासवमाचरतः कुष्ठकिलासे शमं यातः||७५|| इति मध्वासवः

khadirasuradārusāraṁ śrapayitvā tadrasēna tōyārthaḥ| kṣaudraprasthē kāryaḥ kāryē tē cāṣṭapalikē ca||73|| tatrāścūrṇānāmaṣṭapalaṁ prakṣipēttathā'mūni| triphalailē tvaṅmaricaṁ patraṁ kanakaṁ ca karṣāṁśam||74|| matsyaṇḍikā madhusamā tanmāsaṁ jātamāyasē bhāṇḍē| madhvāsavamācarataḥ kuṣṭhakilāsē śamaṁ yātaḥ||75|| iti madhvāsavaḥ

khadirasuradArusAraM shrapayitvA tadrasena toyArthaH| kShaudraprasthe kAryaH kArye te cAShTapalike ca||73|| tatrAshcUrNAnAmaShTapalaM prakShipettathA~amUni| triphalaile tva~gmaricaM patraM kanakaM ca karShAMsham||74|| matsyaNDikA madhusamA tanmAsaM jAtamAyase bhANDe| madhvAsavamAcarataH kuShThakilAse shamaM yAtaH||75|| iti madhvAsavaH

Decoction should be prepared from 8 pala each of water extract of khadira and devadāru to this one prastha of honey should be added. To this powder (bhasma / mandur) of iron in 8 pala quantity should be added alongwith triphala, ela, tvak, marica, patra and kanaka (nagkeshar) in one karsa quantity. Matsyaṇḍikā (sugar) should be added in quantity equal to honey (one prastha). This preparation should be kept in an iron jar for one month. This is called as Madhvāsava and it is administered in kuṣṭha and kilāsa.(73-75)

Kanaka bindu arishta

खदिरकषायद्रोणं कुम्भे घृतभाविते समावाप्य| द्रव्याणि चूर्णितानि च षट्पलिकान्यत्र देयानि||७६|| त्रिफलाव्योषविडङ्गरजनीमुस्ताटरूषकेन्द्रयवाः| सौवर्णी च तथा त्वक् छिन्नरुहा चेति तन्मासम्||७७|| निदधीत धान्यमध्ये प्रातः प्रातः पिबेत्ततो युक्त्या| मासेन महाकुष्ठं हन्त्येवाल्पं तु पक्षेण||७८|| अर्शःश्वासभगन्दरकासकिलासप्रमेहशोषांश्च| ना भवति कनकवर्णः पीत्वाऽरिष्टं कनकबिन्दुम्||७९|| इति कनकबिन्द्वरिष्टम् कुष्ठेष्वनिलकफकृतेष्वेवं पेयस्तथाऽपि पैत्तेषु| कृतमालक्वाथश्चाप्येष विशेषात् कफकृतेषु||८०|| khadirakaṣāyadrōṇaṁ kumbhē ghr̥tabhāvitē samāvāpya| dravyāṇi cūrṇitāni ca ṣaṭpalikānyatra dēyāni||76|| triphalāvyōṣaviḍaṅgarajanīmustāṭarūṣakēndrayavāḥ| sauvarṇī ca tathā tvak chinnaruhā cēti tanmāsam||77|| nidadhīta dhānyamadhyē prātaḥ prātaḥ pibēttatō yuktyā| māsēna mahākuṣṭhaṁ hantyēvālpaṁ tu pakṣēṇa||78|| arśaḥśvāsabhagandarakāsakilāsapramēhaśōṣāṁśca| nā bhavati kanakavarṇaḥ pītvā'riṣṭaṁ kanakabindum||79|| iti kanakabindvariṣṭam kuṣṭhēṣvanilakaphakr̥tēṣvēvaṁ pēyastathā'pi paittēṣu| kr̥tamālakvāthaścāpyēṣa viśēṣāt kaphakr̥tēṣu||80|| khadirakaShAyadroNaM kumbhe ghRutabhAvite samAvApya| dravyANi cUrNitAni ca ShaTpalikAnyatra deyAni||76|| triphalAvyoShaviDa~ggarajanImustATarUShakendrayavAH| sauvarNI ca tathA tvak chinnaruhA ceti tanmAsam||77|| nidadhIta dhAnyamadhye prAtaH prAtaH pibettato yuktyA| mAsena mahAkuShThaM hantyevAlpaM tu pakSheNa||78|| arshaHshvAsabhagandarakAsakilAsapramehashoShAMshca| nA bhavati kanakavarNaH pItvA~ariShTaM kanakabindum||79|| iti kanakabindvariShTam kuShTheShvanilakaphakRuteShvevaM peyastathA~api paitteShu| kRutamAlakvAthashcApyeSha visheShAt kaphakRuteShu||80|| In ghee smeared jar one drōṇa of decoction of khadira should be added. To these 6 palas each of powdered triphala, trikatu, viḍaṅga, haridra, musta, vāsā, indrayava, bark of sauvarni (dāruharidra), and guduchi should be added. The jar should be kept for one month inside a heap of grains. Every morning if this preparation is taken then in one month mahakuṣṭha gets cured and within 15 days ksudrakuṣṭha is cured. It is also useful arśa, śvāsa, bhagandar, kasa, kilasa, prameha and shosha. Skin achieves golden complexion after having kanakabindu. This ends explanation of kanakabindvariṣṭa. It is useful in all vātaj, pittaj and kaphaj kuṣṭha. Especially in kaphaja kuṣṭha, kritmalaka decoction should be used in place of khadira.(76-80)

त्रिफलासवश्च गौडः सचित्रकः कुष्ठरोगविनिहन्ता| क्रमुकदशमूलदन्तीवराङ्गमधुयोगसंयुक्तः||८१|| triphalāsavaśca gauḍaḥ sacitrakaḥ kuṣṭharōgavinihantā| kramukadaśamūladantīvarāṅgamadhuyōgasaṁyuktaḥ||81|| triphalAsavashca gauDaH sacitrakaH kuShTharogavinihantA| kramukadashamUladantIvarA~ggamadhuyogasaMyuktaH||81|| Triphalāsava prepared from jaggery alongwith citraka, kramuka, daśamūla, dantī, varā (triphala) and honey helps in treating various kuṣṭha.(81)

Diet in kushtha

लघूनि चान्नानि हितानि विद्यात् कुष्ठेषु शाकनि च तिक्तकानि| भल्लातकैः सत्रिफलैः सनिम्बैर्युक्तानि चान्नानि घृतानि चैव||८२|| पुराणधान्यान्यथ जाङ्गलानि मांसानि मुद्गाश्च पटोलयुक्ताः| शस्ता, न गुर्वम्लपयोदधीनि नानूपमत्स्या न गुडस्तिलाश्च||८३|| laghūni cānnāni hitāni vidyāt kuṣṭhēṣu śākani ca tiktakāni| bhallātakaiḥ satriphalaiḥ sanimbairyuktāni cānnāni ghr̥tāni caiva||82|| purāṇadhānyānyatha jāṅgalāni māṁsāni mudgāśca paṭōlayuktāḥ| śastā, na gurvamlapayōdadhīni nānūpāmātsyā na guḍastilāśca||83|| laghUni cAnnAni hitAni vidyAt kuShTheShu shAkani ca tiktakAni| bhallAtakaiH satriphalaiH sanimbairyuktAni cAnnAni ghRutAni caiva||82|| purANadhAnyAnyatha jA~ggalAni mAMsAni mudgAshca paTolayuktAH| shastA, na gurvamlapayodadhIni nAnUpamatsyA na guDastilAshca||83|| Easily digestible and wholesome food, green leafy vegetables bitter in taste, food and ghee prepared by fortifying with bhallataka, triphala and nimba, one year old cereals, meat of animals inhabiting from arid area, preparations of mudga and paṭōla. Avoid heavy to digest, sour food, milk, curd, meat of animals residing in marshy area, fish, jaggery and sesame. (82-83)

एला कुष्ठं दार्वी शतपुष्पा चित्रको विडङ्गश्च| कुष्ठालेपनमिष्टं रसाञ्जनं चाभया चैव||८४|| ēlā kuṣṭhaṁ dārvī śatapuṣpā citrakō viḍaṅgaśca| kuṣṭhālēpanamiṣṭaṁ rasāñjanaṁ cābhayā caiva||84|| elA kuShThaM dArvI shatapuShpA citrako viDa~ggashca| kuShThAlepanamiShTaM rasA~jjanaM cAbhayA caiva||84||

Ela, kuṣṭha, dārvi, śatapuṣpā, chitraka, viḍaṅga, rasāñjan and abhaya taken together and their paste when applied has a very efficacious role in kuṣṭha.(84)

चित्रकमेलां बिम्बीं [१] वृषकं त्रिवृदर्कनागरकम्| चूर्णीकृतमष्टाहं भावयितव्यं पलाशस्य||८५|| क्षारेण गवां मूत्रस्रुतेन तेनास्य मण्डलान्याशु| भिद्यन्ते विलयन्ति च लिप्तान्यर्काभितप्तानि||८६|| citrakamēlāṁ bimbīṁ [1] vr̥ṣakaṁ trivr̥darkanāgarakam| cūrṇīkr̥tamaṣṭāhaṁ bhāvayitavyaṁ palāśasya||85|| kṣārēṇa gavāṁ mūtrasrutēna tēnāsya maṇḍalānyāśu| bhidyantē vilayanti ca liptānyarkābhitaptāni||86|| citrakamelAM bimbIM [1] vRuShakaM trivRudarkanAgarakam| cUrNIkRutamaShTAhaM bhAvayitavyaM palAshasya||85|| kShAreNa gavAM mUtrasrutena tenAsya maNDalAnyAshu| bhidyante vilayanti ca liptAnyarkAbhitaptAni||86|| Chitraka, ela, bimbi, vr̥ṣaka, trivr̥tā, arka and shunthi should be powdered together and trichurate with palāśa kshara and fortify it with cows urine for eight days. Application of this paste followed by sun exposure leads to bursting and dissolution of maṇḍala. (85-86)

मांसी मरिचं लवणं रजनी तगरं सुधा गृहाद्धूमः| मूत्रं पित्तं [२] क्षारः पालाशः कुष्ठहा लेपः||८७|| māṁsī maricaṁ lavaṇaṁ rajanī tagaraṁ sudhā gr̥hāddhūmaḥ| mūtraṁ pittaṁ [2] kṣāraḥ pālāśaḥ kuṣṭhahā lēpaḥ||87|| mAMsI maricaM lavaNaM rajanI tagaraM sudhA gRuhAddhUmaH| mUtraM pittaM [2] kShAraH pAlAshaH kuShThahA lepaH||87||

Māṁsī, marica, lavana, haridra, tagara, sudhā and gr̥hāddhūma paste should be prepared along with cow urine, cow’s bile and palasha kshara should be applied.(87)

त्रपु सीसमयश्चूर्णं मण्डलनुत् फल्गुचित्रकौ बृहती| गोधारसः सलवणो दारु च मूत्रं च मण्डलनुत्||८८|| trapu sīsamayaścūrṇaṁ maṇḍalanut phalgucitrakau br̥hatī| gōdhārasaḥ salavaṇō dāru ca mūtraṁ ca maṇḍalanut||88|| trapu sIsamayashcUrNaM maNDalanut phalgucitrakau bRuhatI| godhArasaH salavaNo dAru ca mUtraM ca maNDalanut||88||

Trapu (tin), sīsa (lead) and ayaś (iron) powders when applied treats maṇḍala kuṣṭha. Similarly application of phalgu, citraka, br̥hatī, gōdhārasa (meat soup of iguana) lavana, devdāru and cow’s urine is also helpful in maṇḍala. (88)

कदलीपलाशपाटलिनिचुलक्षाराम्भसा प्रसन्नेन| मांसेषु तोयकार्यं कार्यं पिष्टे च किण्वे [३] च||८९|| तैर्मेदकः सुजातः किण्वैर्जनितं प्रलेपनं शस्तम्| मण्डलकुष्ठविनाशनमातपसंस्थं कृमिघ्नं च||९०|| kadalīpalāśapāṭaliniculakṣārāmbhasā prasannēna| māṁsēṣu tōyakāryaṁ kāryaṁ piṣṭē ca kiṇvē [3] ca||89|| tairmēdakaḥ sujātaḥ kiṇvairjanitaṁ pralēpanaṁ śastam| maṇḍalakuṣṭhavināśanamātapasaṁsthaṁ kr̥mighnaṁ ca||90|| kadalIpalAshapATaliniculakShArAmbhasA prasannena| mAMseShu toyakAryaM kAryaM piShTe ca kiNve [3] ca||89|| tairmedakaH sujAtaH kiNvairjanitaM pralepanaM shastam| maNDalakuShThavinAshanamAtapasaMsthaM kRumighnaM ca||90||

From kshara of kadalī, palāśa, pātalā and nicula kshara jala (alkaline water) should be prepared which should be well filtered. The same should be added to meat of animals for cleaning of meat, for making paste and for fermentation process. A self fermented (medaka) alcoholic formulation should be prepared. After well fermented medaka prepared the kinva (fermented paste of drug) should be removed and applied as paste. It is useful in maṇḍala kuṣṭha and other kr̥imi infestations.(89-90)

Siddharthaka snana( medicinal bath)

मुस्तं मदनं त्रिफला करञ्ज आरग्वधकलिङ्गयवाः| दार्वी ससप्तपर्णा स्नानं सिद्धार्थकं नाम||९१|| एष कषायो वमनं विरेचनं वर्णकस्तथोद्घर्षः| त्वग्दोषकुष्ठशोफप्रबाधनः पाण्डुरोगघ्नः||९२|| mustaṁ madanaṁ triphalā karañja āragvadhakaliṅgayavāḥ| dārvī sasaptaparṇā snānaṁ siddhārthakaṁ nāma||91|| ēṣa kaṣāyō vamanaṁ virēcanaṁ varṇakastathōdgharṣaḥ| tvagdōṣakuṣṭhaśōphaprabādhanaḥ pāṇḍurōgaghnaḥ||92|| mustaM madanaM triphalA kara~jja Aragvadhakali~ggayavAH| dArvI sasaptaparNA snAnaM siddhArthakaM nAma||91|| eSha kaShAyo vamanaM virecanaM varNakastathodgharShaH| tvagdoShakuShThashophaprabAdhanaH pANDurogaghnaH||92||

Powder of musta, madanphala, triphala, karañja, āragvadha, kaliṅgaka, yava, dārvi, saptaparna are boiled in water and used for bath. This preparation is called as siddhārthaka snana. Decoction of above combination is useful for vamana and virechana procedures. It helps in promotion of colour and complexion. It is also useful in tvagdōṣa, kuṣṭha, śōpha and panduroga.(91-92)

External applications

कुष्ठं करञ्जबीजान्येडगजः कुष्ठसूदनो लेपः| प्रपुन्नाडबीजसैन्धवरसाञ्जनकपित्थलोध्राश्च||९३|| श्वेतकरवीरमूलं कुटजकरञ्जयोः फलं त्वचो दार्व्याः| सुमनःप्रवालयुक्तो लेपः कुष्ठापहः सिद्धः||९४|| kuṣṭhaṁ karañjabījānyēḍagajaḥ kuṣṭhasūdanō lēpaḥ| prapunnāḍabījasaindhavarasāñjanakapitthalōdhrāśca||93|| śvētakaravīramūlaṁ kuṭajakarañjayōḥ phalaṁ tvacō dārvyāḥ| sumanaḥpravālayuktō lēpaḥ kuṣṭhāpahaḥ siddhaḥ||94|| kuShThaM kara~jjabIjAnyeDagajaH kuShThasUdano lepaH| prapunnADabIjasaindhavarasA~jjanakapitthalodhrAshca||93|| shvetakaravIramUlaM kuTajakara~jjayoH phalaM tvaco dArvyAH| sumanaHpravAlayukto lepaH kuShThApahaH siddhaH||94|| Lepa of kuṣṭha (herb), seeds of karañja and ēḍagaja is useful in kuṣṭha roga. Similarly, paste of seeds prapunnāḍa, saindhava, rasāñjan, kapittha, lōdhra, root of white variety of karavīra, fruits of kuṭaja and karañja, bark of dāruharidra along with tender leaves of jati is useful in kuṣṭha. (93-94)

लोध्रस्य धातकीनां वत्सकबीजस्य नक्तमालस्य| कल्कश्च मालतीनां कुष्ठेषून्मर्दनालेपौ||९५|| lōdhrasya dhātakīnāṁ vatsakabījasya naktamālasya| kalkaśca mālatīnāṁ kuṣṭhēṣūnmardanālēpau||95|| lodhrasya dhAtakInAM vatsakabIjasya naktamAlasya| kalkashca mAlatInAM kuShTheShUnmardanAlepau||95|| Paste of lōdhra, dhātakī, seeds of vatsaka (kuṭaja), naktamāla and malati is to be used externally for udvartan and lepa.(95)

शैरीषी त्वक् पुष्पं कार्पास्या राजवृक्षपत्राणि| पिष्टा च काकमाची चतुर्विधः कुष्ठनुल्लेपः||९६|| इति लेपाः śairīṣī tvak puṣpaṁ kārpāsyā rājavr̥kkārpāsṣapatrāṇi| piṣṭā ca kākamācī caturvidhaḥ kuṣṭhanullēpaḥ||96|| iti lēpāḥ shairIShI tvak puShpaM kArpAsyA rAjavRukShapatrANi| piShTA ca kAkamAcI caturvidhaH kuShThanullepaH||96|| iti lepAH Paste of bark of shirīṣa or flowers of kārpās, leaves of rājavr̥kksha or paste of kākamācī are 4 different types of lepa useful in kuṣṭha. (96)

दार्व्या रसाञ्जनस्य च निम्बपटोलस्य खदिरसारस्य| आरग्वधवृक्षकयोस्त्रिफलायाः सप्तपर्णस्य||९७|| इति षट् कषाययोगाः कुष्ठघ्नाः सप्तमश्च तिनिशस्य| स्नाने पाने च हितास्तथाऽष्टमश्चाश्वमारस्य||९८|| आलेपनं प्रघर्षणमवचूर्णनमेत एव च कषायाः| तैलघृतपाकयोगे चेष्यन्ते कुष्ठशान्त्यर्थम्||९९|| dārvyā rasāñjanasya ca nimbapaṭōlasya khadirasārasya| āragvadhavr̥kṣakayōstriphalāyāḥ saptaparṇasya||97|| iti ṣaṭ kaṣāyayōgāḥ kuṣṭhaghnāḥ saptamaśca tiniśasya| snānē pānē ca hitāstathā'ṣṭamaścāśvamārasya||98|| ālēpanaṁ pragharṣaṇamavacūrṇanamēta ēva ca kaṣāyāḥ| tailaghr̥tapākayōgē cēṣyantē kuṣṭhaśāntyartham||99|| dArvyA rasA~jjanasya ca nimbapaTolasya khadirasArasya| AragvadhavRukShakayostriphalAyAH saptaparNasya||97|| iti ShaT kaShAyayogAH kuShThaghnAH saptamashca tinishasya| snAne pAne ca hitAstathA~aShTamashcAshvamArasya||98|| AlepanaM pragharShaNamavacUrNanameta eva ca kaShAyAH| tailaghRutapAkayoge ceShyante kuShThashAntyartham||99||

Following Six decoctions viz. 1) Dārvi, rasāñjan 2) Nimba, paṭōla 3) Heart wood of khadira 4) Āragvadha and vr̥Kṣaka 5) Triphala 6) Saptaparna Seventh decoction is of tiniśa and decoction of āśvamāra. All of the above decoctions should be used for bathing, drinking, in the form of lepa, for scrubbing and for dusting. The same decoctions can be used for fortifying of medicated ghee and oil.(97-99)

त्रिफला निम्बपटोलं मञ्जिष्ठा रोहिणी वचा रजनी| एष कषायोऽभ्यस्तो निहन्ति कफपित्तजं कुष्ठम्||१००|| एतैरेव च सर्पिः सिद्धं वातोल्बणं जयति कुष्ठम्| एष च कल्पो दिष्टः खदिरासनदारुनिम्बानाम्||१०१|| triphalā nimbapaṭōlaṁ mañjiṣṭhā rōhiṇī vacā rajanī| ēṣa kaṣāyō'bhyastō nihanti kaphapittajaṁ kuṣṭham||100|| ētairēva ca sarpiḥ siddhaṁ vātōlbaṇaṁ jayati kuṣṭham| ēṣa ca kalpō diṣṭaḥ khadirāsanadārunimbānām||101|| triphalA nimbapaTolaM ma~jjiShThA rohiNI vacA rajanI| eSha kaShAyo~abhyasto nihanti kaphapittajaM kuShTham||100|| etaireva ca sarpiH siddhaM vAtolbaNaM jayati kuShTham| eSha ca kalpo diShTaH khadirAsanadArunimbAnAm||101|| In kaphaj-pittaj kuṣṭha, triphala, nimba, paṭōla, mañjiṣṭhā, rōhiṇī, vacā, rajani should be regularly taken in the form of decoction. The same medicine, when used to fortify ghr̥ita helps in curing vātaj kuṣṭha. Khadira, asana, devadāru and nimba together when used like above has similar benefits.(100-101)

कुष्ठार्कतुत्थकट्फलमूलकबीजानि रोहिणी कटुका| कुटजफलोत्पलमुस्तं बृहतीकरवीरकासीसम्||१०२|| एडगजनिम्बपाठा दुरालभा चित्रको विडङ्गश्च| तिक्तालाबुकबीजं कम्पिल्लकसर्षपौ वचा दार्वी||१०३|| एतैस्तैलं सिद्धं कुष्ठघ्नं योग एष चालेपः| उद्वर्तनं प्रघर्षणमवचूर्णनमेष एवेष्टः||१०४|| kuṣṭhārkatutthakaṭphalamūlakabījāni rōhiṇī kaṭukā| kuṭajaphalōtpalamustaṁ br̥hatīkaravīrakāsīsam||102|| ēḍagajanimbapāṭhā durālabhā citrakō viḍaṅgaśca| tiktālābukabījaṁ kampillakasarṣapau vacā dārvī||103|| ētaistailaṁ siddhaṁ kuṣṭhaghnaṁ yōga ēṣa cālēpaḥ| udvartanaṁ pragharṣaṇamavacūrṇanamēṣa ēvēṣṭaḥ||104|| kuShThArkatutthakaTphalamUlakabIjAni rohiNI kaTukA| kuTajaphalotpalamustaM bRuhatIkaravIrakAsIsam||102|| eDagajanimbapAThA durAlabhA citrako viDa~ggashca| tiktAlAbukabIjaM kampillakasarShapau vacA dArvI||103|| etaistailaM siddhaM kuShThaghnaM yoga eSha cAlepaH| udvartanaM pragharShaNamavacUrNanameSha eveShTaH||104|| Kuṣṭha, arka, tuttha, katphala, seeds of mūlaka, katukarōhiṇī, fruits of kuṭaja, utpala, musta, br̥hatī, karavīra, kāsīsa, ēḍagaja, nimba, pāṭhā, durālabhā, citraka, viḍaṅga, seeds of alābū which is bitter in taste, kampillaka, sarṣapa, vacā and dārvī when used for preparation of medicated oil helps in reducing kuṣṭha. The same contents may be used for lepa, udvartan, scrubbing and dusting. (102-104)

Shweta-karaviradya taila

श्वेतकरवीरकरसो गोमूत्रं चित्रको विडङ्गश्च| कुष्ठेषु तैलयोगः सिद्धोऽयं सम्मतो भिषजाम्||१०५|| इति श्वेतकरवीराद्यं तैलम् śvētakaravīrakarasō gōmūtraṁ citrakō viḍaṅgaśca| kuṣṭhēṣu tailayōgaḥ siddhō'yaṁ sammatō bhiṣajām||105|| iti śvētakaravīrādyaṁ tailam shvetakaravIrakaraso gomUtraM citrako viDa~ggashca| kuShTheShu tailayogaH siddho~ayaM sammato bhiShajAm||105|| iti shvetakaravIrAdyaM tailam Physicians recommend that, medicated oil prepared with the help of juice of white variety of karavīra, cows’ urine, citraka and viḍaṅga cures all type of kuṣṭha. This ends the explanation of śvēta karavīrādya taila.(105)

Shweta karavira palladi tailam

श्वेतकरवीरपल्लवमूलत्वग्वत्सको विडङ्गश्च| कुष्ठार्कमूलसर्षपशिग्रुत्वग्रोहिणी कटुका||१०६|| एतैस्तैलं सिद्धं कल्कैः पादांशिकैर्गवां मूत्रम्| दत्त्वा तैलचतुर्गुणमभ्यङ्गात् कुष्ठकण्डूघ्नम्||१०७|| इति श्वेतकरवीरपल्लवाद्यं तैलम् śvētakaravīrapallavamūlatvagvatsakō viḍaṅgaśca| kuṣṭhārkamūlasarṣapaśigrutvagrōhiṇī kaṭukā||106|| ētaistailaṁ siddhaṁ kalkaiḥ pādāṁśikairgavāṁ mūtram| dattvā tailacaturguṇamabhyaṅgāt kuṣṭhakaṇḍūghnam||107|| iti śvētakaravīrapallavādyaṁ tailam shvetakaravIrapallavamUlatvagvatsako viDa~ggashca| kuShThArkamUlasarShapashigrutvagrohiNI kaTukA||106|| etaistailaM siddhaM kalkaiH pAdAMshikairgavAM mUtram| dattvA tailacaturguNamabhya~ggAt kuShThakaNDUghnam||107|| iti shvetakaravIrapallavAdyaM tailam Paste of tender leaves of śvēta karavīra, root and bark of vatsaka, viḍaṅga, kuṣṭha, root of arka, sarṣapa, bark of śigru, rōhiṇī, 1/4th quantity of oil and cows urine in quantity four times that of oil and then tail siddhi is done then it helps in treating kuṣṭha and itching. The preparation is known as śvēta karavīrapallavādya tailam.(106-107)

Tikta-ikshwakwadi tailam

तिक्तालाबुकबीजं द्वे तुत्थे रोचना हरिद्रे द्वे| बृहतीफलमेरण्डः सविशालश्चित्रको मूर्वा||१०८|| कासीसहिङ्गुशिग्रुत्र्यूषणसुरदारुतुम्बुरुविडङ्गम्| लाङ्गालकं कुटजत्वक् कटुकाख्या रोहिणी चैव||१०९|| सर्षपतैलं कल्कैरेतैर्मूत्रे चतुर्गुणे साध्यम्| कण्डूकुष्ठविनाशनमभ्यङ्गान्मारुतकफहन्तृ||११०|| इति तिक्तेक्ष्वाक्वादितैलम् tiktālābukabījaṁ dvē tutthē rōcanā haridrē dvē| br̥hatīphalamēraṇḍaḥ saviśālaścitrakō mūrvā||108|| kāsīsahiṅguśigrutryūṣaṇasuradārutumburuviḍaṅgam| lāṅgālakaṁ kuṭajatvak kaṭukākhyā rōhiṇī caiva||109|| sarṣapatailaṁ kalkairētairmūtrē caturguṇē sādhyam| kaṇḍūkuṣṭhavināśanamabhyaṅgānmārutakaphahantr̥||110|| iti tiktēkṣvākvāditailam tiktAlAbukabIjaM dve tutthe rocanA haridre dve| bRuhatIphalameraNDaH savishAlashcitrako mUrvA||108|| kAsIsahi~ggushigrutryUShaNasuradArutumburuviDa~ggam| lA~ggAlakaM kuTajatvak kaTukAkhyA rohiNI caiva||109|| sarShapatailaM kalkairetairmUtre caturguNe sAdhyam| kaNDUkuShThavinAshanamabhya~ggAnmArutakaphahantRu||110|| iti tiktekShvAkvAditailam Seeds of bitter variety of alābu, both varieties of tuttha (mayura and kharparika tuttha) gorōcanā, haridra, dāruharidra, fruit of br̥hatī, ēraṇḍa, viśāla, citraka, murva, kāsīsa, hiṅgu, śigru, trikatu suradāru, tumburu, viḍaṅga, lāṅgāli, bark of kuṭaja, katukarōhiṇī are pasted together and mustard oil is fortified with above medicines and cow’s urine taken in quantity four times of oil. Application of tikta ekṣvākvādi tailam is useful in itching, kuṣṭha and vāta kapha dominated diseases. (108-110)

Kanakaksheeri tailam

कनकक्षीरी शैला भार्गी दन्त्याः फलानि मूलं च| जातीप्रवालसर्षपलशुनविडङ्गं करञ्जत्वक्||१११|| सप्तच्छदार्कपल्लवमूलत्वङ्निम्बचित्रकास्फोताः| गुञ्जैरण्डं बृहतीमूलकसुरसार्जकफलानि||११२|| कुष्ठं पाठा मुस्तं तुम्बुरुमूर्वावचाः सषड्ग्रन्थाः [१] | एडगजकुटजशिग्रुत्र्यूषणभल्लातकक्षवकाः||११३|| हरितालमवाक्पुष्पी तुत्थं कम्पिल्लकोऽमृतासञ्ज्ञः| सौराष्ट्री कासीसं दार्वीत्वक् सर्जिकालवणम्||११४|| कल्कैरेतैस्तैलं करवीरकमूलपल्लवकषाये| सार्षपमथवा तैलं गोमूत्रचतुर्गुणं साध्यम्||११५|| स्थाप्यं कटुकालाबुनि तत्सिद्धं तेन मण्डलान्याशु| भिन्द्याद्भिषगभ्यङ्गात्कृमींश्च कण्डूं च विनिहन्यात्||११६|| इति कनकक्षीरीतैलम् kanakakṣīrī śailā bhārgī dantyāḥ phalāni mūlaṁ ca| jātīpravālasarṣapalaśunaviḍaṅgaṁ karañjatvak||111|| saptacchadārkapallavamūlatvaṅnimbacitrakāsphōtāḥ| guñjairaṇḍaṁ br̥hatīmūlakasurasārjakaphalāni||112|| kuṣṭhaṁ pāṭhā mustaṁ tumburumūrvāvacāḥ saṣaḍgranthāḥ [1] | ēḍagajakuṭajaśigrutryūṣaṇabhallātakakṣavakāḥ||113|| haritālamavākpuṣpī tutthaṁ kampillakō'mr̥tāsañjñaḥ| saurāṣṭrī kāsīsaṁ dārvītvak sarjikālavaṇam||114|| kalkairētaistailaṁ karavīrakamūlapallavakaṣāyē| sārṣapāmāthavā tailaṁ gōmūtracaturguṇaṁ sādhyam||115|| sthāpyaṁ kaṭukālābuni tatsiddhaṁ tēna maṇḍalānyāśu| bhindyādbhiṣagabhyaṅgātkr̥mīṁśca kaṇḍūṁ ca vinihanyāt||116|| iti kanakakṣīrītailam kanakakShIrI shailA bhArgI dantyAH phalAni mUlaM ca| jAtIpravAlasarShapalashunaviDa~ggaM kara~jjatvak||111|| saptacchadArkapallavamUlatva~gnimbacitrakAsphotAH| gu~jjairaNDaM bRuhatImUlakasurasArjakaphalAni||112|| kuShThaM pAThA mustaM tumburumUrvAvacAH saShaDgranthAH [1] | eDagajakuTajashigrutryUShaNabhallAtakakShavakAH||113|| haritAlamavAkpuShpI tutthaM kampillako~amRutAsa~jj~jaH| saurAShTrI kAsIsaM dArvItvak sarjikAlavaNam||114|| kalkairetaistailaM karavIrakamUlapallavakaShAye| sArShapamathavA tailaM gomUtracaturguNaM sAdhyam||115|| sthApyaM kaTukAlAbuni tatsiddhaM tena maNDalAnyAshu| bhindyAdbhiShagabhya~ggAtkRumIMshca kaNDUM ca vinihanyAt||116|| iti kanakakShIrItailam Kanakakṣīrī (Kankuṣṭha), śailā (manashila), bhārangi, fruits, root and tender leaves of dantī, sarṣapa, laśuna, viḍaṅga, bark, of karañja, saptacchadā, tender leaves, root and bark of arka, nimba, chitraka, āsphōtāḥ, guñja, eraṇḍa, root of br̥hatī, seeds of surasā and fruits of arjaka kuṣṭha, pāṭhā, musta, tumburu, vacā, murva, ṣaḍgranthā, ēḍagaja, kuṭaja, śigru, trikatu, bhallataka, kṣavaka, haritāla, avākpuṣpī (apāmārga), tuttha, kampillaka, amr̥tāsañjña (kharparika tuttha), saurāṣṭrī, kāsīsa, bark of dārvi, sarjikālavaṇa. All the above medicines should be pasted and oil should be added (either sesame or mustard oil) alongwith decoction of root and tender leaves of karavira and four times of oil, cows urine should be added and the same should be stored in container of kaṭukālābu. It immediately cures maṇḍala kuṣṭha by bhedan of mandala also cures kr̥imi and itching. This preparation is known as kanakakṣīrī taila .(111-116)

Sidhmahara lepa

कुष्ठं तमालपत्रं मरिचं समनःशिलं सकासीसम्| तैलेन युक्तमुषितं सप्ताहं भाजने ताम्रे||११७|| तेनालिप्तं सिध्मं सप्ताहाह्येति [१] तिष्ठतो घर्मे| मासान्नवं किलासं स्नानं मुक्त्वा विशुद्धतनोः||११८|| इति सिध्मे लेपः kuṣṭhaṁ tamālapatraṁ maricaṁ samanaḥśilaṁ sakāsīsam| tailēna yuktamuṣitaṁ saptāhaṁ bhājanē tāmrē||117|| tēnāliptaṁ sidhmaṁ saptāhāhyēti [1] tiṣṭhatō gharmē| māsānnavaṁ kilāsaṁ snānaṁ muktvā viśuddhatanōḥ||118|| iti sidhmē lēpaḥ kuShThaM tamAlapatraM maricaM samanaHshilaM sakAsIsam| tailena yuktamuShitaM saptAhaM bhAjane tAmre||117|| tenAliptaM sidhmaM saptAhAhyeti [1] tiShThato gharme| mAsAnnavaM kilAsaM snAnaM muktvA vishuddhatanoH||118|| iti sidhme lepaH The paste of kuṣṭha, tamālapatra, marica, manaḥśila, kāsīsa should be mixed with oil and kept for seven days in copper vessel. Application of this oil and exposure to sun helps in curing siddhma within a week and kilāsa gets cured within a month provided the patient does not take bath but maintains cleaned body. The preparation is called as sidhma lepa.(117-118) सर्षपकरञ्जकोषातकीनां तैलान्यथेङ्गुदीनां च| कुष्ठेषु हितान्याहुस्तैलं यच्चापि खदिरसारस्य||११९|| sarṣapakarañjakōṣātakīnāṁ tailānyathēṅgudīnāṁ ca| kuṣṭhēṣu hitānyāhustailaṁ yaccāpi khadirasārasya||119|| sarShapakara~jjakoShAtakInAM tailAnyathe~ggudInAM ca| kuShTheShu hitAnyAhustailaM yaccApi khadirasArasya||119|| Oil extracted from sarṣapa, karañja, kōṣātakī, and ingudi when fortified with heartwood of khadira is useful in kuṣṭha.(119)

Vipadikahara ghee and taila

जीवन्ती मञ्जिष्ठा दार्वी कम्पिल्लकः पयस्तुत्थम्| एष घृततैलपाकः सिद्धः सिद्धे च सर्जरसः||१२०|| देयः समधूच्छिष्टो विपादिका तेन शाम्यतेऽभ्यक्ता| चर्मैककुष्ठकिटिमं कुष्ठं शाम्यत्यलसकं च||१२१|| इति विपादिकाहरघृततैले jīvantī mañjiṣṭhā dārvī kampillakaḥ payastuttham| ēṣa ghr̥tatailapākaḥ siddhaḥ siddhē ca sarjarasaḥ||120|| dēyaḥ samadhūcchiṣṭō vipādikā tēna śāmyatē'bhyaktā| carmaikakuṣṭhakiṭimaṁ kuṣṭhaṁ śāmyatyalasakaṁ ca||121|| iti vipādikāharaghr̥tataile jIvantI ma~jjiShThA dArvI kampillakaH payastuttham| eSha ghRutatailapAkaH siddhaH siddhe ca sarjarasaH||120|| deyaH samadhUcchiShTo vipAdikA tena shAmyate~abhyaktA| carmaikakuShThakiTimaM kuShThaM shAmyatyalasakaM ca||121|| iti vipAdikAharaghRutataile|

With jīvantī, mañjiṣṭhā, dārvi, kampillaka, payas (milk) and tuttha should be used to prepare ghee and/or fortify oil. Once sneha siddhi lakshana are seen sarjarasa and madhūcchiṣṭa should be added. Application of the oil cures, carmakuṣṭha, ekakuṣṭha, kiṭibha and alasaka type of kuṣṭha. This preparation is called as vipādikāhara ghr̥it and taila.(120-121)

किण्वं [१] वराहरुधिरं पृथ्वीका सैन्धवं च लेपः स्यात्| लेपो योज्यः कुस्तुम्बुरूणि कुष्ठं च मण्डलनुत्||१२२|| kiṇvaṁ [1] varāharudhiraṁ pr̥thvīkā saindhavaṁ ca lēpaḥ syāt| lēpō yōjyaḥ kustumburūṇi kuṣṭhaṁ ca maṇḍalanut||122|| kiNvaM [1] varAharudhiraM pRuthvIkA saindhavaM ca lepaH syAt| lepo yojyaH kustumburUNi kuShThaM ca maNDalanut||122||

Application of paste of kiṇva (enzyme used for fermentation), blood of boar, pr̥thvīkā and saindhava or lepa of kustumburūṇi cures maṇḍala type of kuṣṭha.(122)

पूतीकदारुजटिलाः पक्वसुरा क्षौद्रमुद्गपर्ण्यौ च| लेपः सकाकनासो मण्डलकुष्ठापहः सिद्धः||१२३|| pūtīkadārujaṭilāḥ pakvasurā kṣaudramudgaparṇyau ca| lēpaḥ sakākanāsō maṇḍalakuṣṭhāpahaḥ siddhaḥ||123|| pUtIkadArujaTilAH pakvasurA kShaudramudgaparNyau ca| lepaH sakAkanAso maNDalakuShThApahaH siddhaH||123||

Application of lepa of pūtīka, devadāru, jaṭi, pakvasurā, ksaudravalli (guduchi) mudgaparṇi and kākanāsa cures maṇḍala kuṣṭha.(123)

चित्रकशोभाञ्जनकौ गुडूच्यपामार्गदेवदारूणि| खदिरो धवश्च लेपः श्यामा दन्ती द्रवन्ती च||१२४|| लाक्षारसाञ्जनैलाः पुनर्नवा चेति कुष्ठिनो लेपाः| दधिमण्डयुताः सर्वे देयाः षण्मारुतकफकुष्ठघ्नाः||१२५|| citrakaśōbhāñjanakau guḍūcyapāmārgadēvadārūṇi| khadirō dhavaśca lēpaḥ śyāmā dantī dravantī ca||124|| lākṣārasāñjanailāḥ punarnavā cēti kuṣṭhinō lēpāḥ| dadhimaṇḍayutāḥ sarvē dēyāḥ ṣaṇmārutakaphakuṣṭhaghnāḥ||125|| citrakashobhA~jjanakau guDUcyapAmArgadevadArUNi| khadiro dhavashca lepaH shyAmA dantI dravantI ca||124|| lAkShArasA~jjanailAH punarnavA ceti kuShThino lepAH| dadhimaNDayutAH sarve deyAH ShaNmArutakaphakuShThaghnAH||125||

1) Citraka and śōbhāñjana 2) Guduchi , apāmārga , devadāru 3) Khandira 4) Dhava 5) Syama, dantī, dravanti 6) lākṣā, rasāñjana , ela, punarnava The above six combinations when mixed separately with dadhimaṇḍa and applied in the form of lepa cures kuṣṭha having predominancy of vāta and kapha doṣa.(124-125)

एडगजकुष्ठसैन्धवसौवीरकसर्षपैः कृमिघ्नैश्च| कृमिकुष्ठमण्डलाख्यं दद्रूकुष्ठं च शममुपैति||१२६|| ēḍagajakuṣṭhasaindhavasauvīrakasarṣapaiḥ kr̥mighnaiśca| kr̥mikuṣṭhamaṇḍalākhyaṁ dadrūkuṣṭhaṁ ca śamamupaiti||126|| eDagajakuShThasaindhavasauvIrakasarShapaiH kRumighnaishca| kRumikuShThamaNDalAkhyaM dadrUkuShThaM ca shamamupaiti||126||

Application of ēḍagaja, kuṣṭha, saindhava, sauviraka, sarṣapa and kr̥mighna (viḍaṅga) cures kr̥mi, maṇḍala and dadru kuṣṭha. (126)

एडगजः सर्जरसो मूलकबीजं च सिध्मकुष्ठानाम्| काञ्जिकयुक्तं तु पृथङ्मतमिदमुद्वर्तनं लेपाः||१२७|| ēḍagajaḥ sarjarasō mūlakabījaṁ ca sidhmakuṣṭhānām| kāñjikayuktaṁ tu pr̥thaṅmatamidamudvartanaṁ lēpāḥ||127|| eDagajaH sarjaraso mUlakabIjaM ca sidhmakuShThAnAm| kA~jjikayuktaM tu pRutha~gmatamidamudvartanaM lepAH||127||

Application of ēḍagaja or sarjarasa or seeds of mūlaka prepared by adding kāñji should be used as udvartana or in the form of lepa it cures sidhma.(127)

Management of pitta-kapha dominant kushtha

वासा त्रिफला पाने स्नाने चोद्वर्तने प्रलेपे च| बृहतीसेव्यपटोलाः ससारिवा रोहिणी चैव||१२८|| खदिरावघातककुभरोहीतकलोध्रकुटजधवनिम्बाः| सप्तच्छदकरवीराः शस्यन्ते स्नानपानेषु||१२९|| vāsā triphalā pānē snānē cōdvartanē pralēpē ca| br̥hatīsēvyapaṭōlāḥ sasārivā rōhiṇī caiva||128|| khadirāvaghātakakubharōhītakalōdhrakuṭajadhavanimbāḥ| saptacchadakaravīrāḥ śasyantē snānapānēṣu||129||

vAsA tiphalA pAne snAne codvartane pralepe ca| bRuhatIsevyapaTolAH sasArivA rohiNI caiva||128|| khadirAvaghAtakakubharohItakalodhrakuTajadhavanimbAH| saptacchadakaravIrAH shasyante snAnapAneShu||129||

Vāsā and triphalā may be used internally, for bathing, udvartana and lepa alongwith br̥hatī, sēvya, paṭōla, sārivā, rōhiṇī. Similarly khadira, avaghāta (karnikākāra), kakubha, rōhītaka, lōdhra, kuṭaja, dhava, nimba, saptacchada and karavira combination is useful for external use, for bathing and internal use. (128-129)

जलवाप्यलोहकेशरपत्रप्लवचन्दनं मृणालानि| भागोत्तराणि सिद्धं प्रलेपनं पित्तकफकुष्ठे||१३०|| jalavāpyalōhakēśarapatraplavacāndanaṁ mr̥ṇālāni| bhāgōttarāṇi siddhaṁ pralēpanaṁ pittakaphakuṣṭhē||130|| jalavApyalohakesharapatraplavacandanaM mRuNAlAni| bhAgottarANi siddhaM pralepanaM pittakaphakuShThe||130|| Application of water (one part), vāpya (kuṣṭha herb) (2 part), lōha (agaru) (3 part) kēśara (4 part), patra (5 part), plava or kaivartamusta (6 part), cāndana, mr̥ṇāla (8 part) is useful in pitta-kapha type of kuṣṭha.(130)

Management of pitta dominant kushtha

यष्ट्याह्वलोध्रपद्मकपटोलपिचुमर्दचन्दनरसाश्च| स्नाने पाने च हिताः सुशीतलाः पित्तकुष्ठिभ्यः||१३१|| yaṣṭyāhvalōdhrapadmakapaṭōlapicumardacandanarasāśca| snānē pānē ca hitāḥ suśītalāḥ pittakuṣṭhibhyaḥ||131|| yaShTyAhvalodhrapadmakapaTolapicumardacandanarasAshca| snAne pAne ca hitAH sushItalAH pittakuShThibhyaH||131||

Decoction of yaṣṭyāhva, lōdhra, padmaka, paṭōla, picumarda and candana may be used externally for bathing and internal use. It has cooling effect and is beneficial in pittaj kuṣṭha.(131)

आलेपनं प्रियङ्गुर्हरेणुका वत्सकस्य च फलानि| सातिविषा च ससेव्या सचन्दना रोहिणी कटुका||१३२|| ālēpanaṁ priyaṅgurharēṇukā vatsakasya ca phalāni| sātiviṣā ca sasēvyā sacandanā rōhiṇī kaṭukā||132|| AlepanaM priya~ggurhareNukA vatsakasya ca phalAni| sAtiviShA ca sasevyA sacandanA rohiNI kaTukA||132||

Application of priyaṅgu, harēṇuka, fruits of vatsaka, ativiṣā, sēvyā, candana and katu rōhiṇī is also useful in paittika kuṣṭha. (132)

तिक्तघृतैर्धौतघृतैरभ्यङ्गो दह्यमानकुष्ठेषु| तैलैश्चन्दनमधुकप्रपौण्डरीकोत्पलयुतैश्च||१३३|| tiktaghr̥tairdhautaghr̥tairabhyaṅgō dahyamānakuṣṭhēṣu| tailaiścandanamadhukaprapauṇḍarīkōtpalayutaiśca||133|| tiktaghRutairdhautaghRutairabhya~ggo dahyamAnakuShTheShu| tailaishcandanamadhukaprapauNDarIkotpalayutaishca||133||

Massaging with tiktaghr̥ta and dhautaghr̥ta helps in reducing burning sensation in kuṣṭha. Similarly medicated oil prepared from chandana, madhuka, prapauṇḍarīka and utpala also has similar effect. (133)

क्लेदे प्रपतति चाङ्गे दाहे विस्फोटके सचर्मदले| शीताः प्रदेहसेका व्यधो विरेको घृतं तिक्तम्||१३४|| klēdē prapatati cāṅgē dāhē visphōṭakē sacarmadalē| śītāḥ pradēhasēkā vyadhō virēkō ghr̥taṁ tiktam||134|| klede prapatati cA~gge dAhe visphoTake sacarmadale| shItAH pradehasekA vyadho vireko ghRutaM tiktam||134||

If there is excessive secretions from skin lesion, sloughing of body parts, burning sensation, eruptions and exfoliation of skin then shitā pradēha (application of lepa with shitā dravya), sēkā, virēchan and use of tikta ghr̥ita should be done.(134)

खदिरघृतं निम्बघृतं दार्वीघृतमुत्तमं पटोलघृतम्| कुष्ठेषु रक्तपित्तप्रबलेषु भिषग्जितं सिद्धम्||१३५|| khadiraghr̥taṁ nimbaghr̥taṁ dārvīghr̥tamuttamaṁ paṭōlaghr̥tam| kuṣṭhēṣu raktapittaprabalēṣu bhiṣagjitaṁ siddham||135|| khadiraghRutaM nimbaghRutaM dArvIghRutamuttamaM paTolaghRutam| kuShTheShu raktapittaprabaleShu bhiShagjitaM siddham||135|| Khandiraghr̥ta, nimbaghr̥ta, dārvighr̥ta and paṭōlaghr̥ta are among the best to be used in rakta and pitta pradhan kuṣṭha.(135)

त्रिफलात्वचोऽर्धपलिकाः पटोलपत्रं च कार्षिकाः शेषाः| कटुरोहिणी सनिम्बा यष्ट्याह्वा त्रायमाणा च||१३६|| एष कषायः साध्यो दत्त्वा द्विपलं मसूरविदलानाम्| सलिलाढकेऽष्टभागे शेषे पूतो रसो ग्राह्यः||१३७|| ते च [१] कषायेऽष्टपले चतुष्पलं सर्पिषश्च पक्तव्यम्| यावत्स्यादष्टपलं शेषं पेयं ततः कोष्णम्||१३८|| तद्वातपित्तकुष्ठं वीसर्पं वातशोणितं प्रबलम्| ज्वरदाहगुल्मविद्रधिविभ्रमविस्फोटकान् हन्ति||१३९||

triphalātvacō'rdhapalikāḥ paṭōlapatraṁ ca kārṣikāḥ śēṣāḥ| kaṭurōhiṇī sanimbā yaṣṭyāhvā trāyamāṇā ca||136|| ēṣa kaṣāyaḥ sādhyō dattvā dvipalaṁ masūravidalānām| salilāḍhakē'ṣṭabhāgē śēṣē pūtō rasō grāhyaḥ||137|| tē ca [1] kaṣāyē'ṣṭapalē catuṣpalaṁ sarpiṣaśca paktavyam| yāvatsyādaṣṭapalaṁ śēṣaṁ pēyaṁ tataḥ kōṣṇam||138|| tadvātapittakuṣṭhaṁ vīsarpaṁ vātaśōṇitaṁ prabalam| jvaradāhagulmavidradhivibhramavisphōṭakān hanti||139|| triphalAtvaco~ardhapalikAH paTolapatraM ca kArShikAH sheShAH| kaTurohiNI sanimbA yaShTyAhvA trAyamANA ca||136|| eSha kaShAyaH sAdhyo dattvA dvipalaM masUravidalAnAm| salilADhake~aShTabhAge sheShe pUto raso grAhyaH||137|| te ca [1] kaShAye~aShTapale catuShpalaM sarpiShashca paktavyam| yAvatsyAdaShTapalaM sheShaM peyaM tataH koShNam||138|| tadvAtapittakuShThaM vIsarpaM vAtashoNitaM prabalam| jvaradAhagulmavidradhivibhramavisphoTakAn hanti||139||

Triphala fruit pulp in quantity of ½ pala each, paṭōla patra ½ pala quantity, one karsa each of katurōhiṇī, nimba, yaṣṭyāhva and trāyamāṇa and two pala of dehusked seeds of masūra which should be boiled in one āḍhaka of water and reduced to 1/8th. The decoction should be filtered and to this eight pala of decoction, four pala of ghee should be added and cooked till 8 palas remain and this medicated ghee should be administered lukewarm. It is useful in vāta pitta kuṣṭha, visarpa, vātarakta, jwara, daha, gulma, vidradhi, giddiness and visphōṭaka. (136-139)

Tikta shatpala ghee

निम्बपटोलं दार्वीं दुरालभां तिक्तरोहिणीं त्रिफलाम्| कुर्यादर्धदलांशं पर्पटकं त्रायमाणां च||१४०|| सलिलाढकसिद्धानां रसेऽष्टभागस्थिते क्षिपेत् पूते| चन्दनकिराततिक्तकमागधिकास्त्रायमाणां च||१४१|| मुस्तं वत्सकबीजं कल्कीकृत्यार्धकार्षिकान् भागान्| नवसर्पिषश्च षट्पलमेतत्सिद्धं [३] घृतं पेयम्||१४२|| कुष्ठज्वरगुल्मार्शोग्रहणीपाण्ड्वामयश्वयथुहारि| पामाविसर्पपिडकाकण्डूमदगण्डनुत्सिद्धम्||१४३|| इति तिक्तषट्पलकं घृतम्

nimbapaṭōlaṁ dārvīṁ durālabhāṁ tiktarōhiṇīṁ triphalām| kuryādardhadalāṁśaṁ parpaṭakaṁ trāyamāṇāṁ ca||140|| salilāḍhakasiddhānāṁ rasē'ṣṭabhāgasthitē kṣipēt pūtē| candanakirātatiktakamāgadhikāstrāyamāṇāṁ ca||141|| mustaṁ vatsakabījaṁ kalkīkr̥tyārdhakārṣikān bhāgān| navasarpiṣaśca ṣaṭpalamētatsiddhaṁ [3] ghr̥taṁ pēyam||142|| kuṣṭhajvaragulmārśōgrahaṇīpāṇḍvāmayaśvayathuhāri| pāmāvisarpapiḍakākaṇḍūmadagaṇḍanutsiddham||143|| iti tiktaṣaṭpalakaṁ ghr̥tam nimbapaTolaM dArvIM durAlabhAM tiktarohiNIM triphalAm| kuryAdardhadalAMshaM parpaTakaM trAyamANAM ca||140|| salilADhakasiddhAnAM rase~aShTabhAgasthite kShipet pUte| candanakirAtatiktakamAgadhikAstrAyamANAM ca||141|| mustaM vatsakabIjaM kalkIkRutyArdhakArShikAn bhAgAn| navasarpiShashca ShaTpalametatsiddhaM [3] ghRutaM peyam||142|| kuShThajvaragulmArshograhaNIpANDvAmayashvayathuhAri| pAmAvisarpapiDakAkaNDUmadagaNDanutsiddham||143|| iti tiktaShaTpalakaM ghRutam

Nimba, paṭōla, dārvi, duralabha, tiktarōhiṇī, triphala, parpaṭaka and trāyamāṇa are taken in half pala quantity and boiled with water in quantity of one āḍhaka and reduced to 1/8th. The decoction should be filtered and to it paste of candana, kirātatiktaka, pippali, trāyamāṇa, musta, seeds of vatsaka in quantity of half karsa should be added alongwith 6 palas of ghr̥it and sneha siddhi should be carried out. This tiktaṣaṭpala ghr̥it is useful in kuṣṭha, jwara, gulma, arśa, grahani, pāṇḍu, śvayathu, pāmā, visarpa, piḍakā, kaṇḍū, mada and galagaṇḍa. (140-143)

Mahatiktaka ghee

सप्तच्छदं प्रतिविषां शम्पाकं तिक्तरोहिणीं पाठाम्| मुस्तमुशीरं त्रिफलां पटोलपिचुमर्दपर्पटकम्||१४४|| धन्वयवासं चन्दनमुपकुल्यां पद्मकं हरिद्रे द्वे| षड्ग्रन्थां सविशालां शतावरीं सारिवे चोभे||१४५|| वत्सकबीजं यासं [४] मूर्वाममृतां किराततिक्तं च| कल्कान् कुर्यान्मतिमान्यष्ट्याह्वं त्रायमाणां च||१४६|| कल्कश्चातुर्भागो [५] जलमष्टगुणं रसोऽमृतफलानाम्| द्विगुणो घृतात्प्रदेयस्तत्सर्पिः पाययेत्सिद्धम्||१४७|| कुष्ठानि रक्तपित्तप्रबलान्यर्शांसि रक्तवाहीनि| वीसर्पमम्लपित्तं [६] वातासृक् पाण्डुरोगं च||१४८|| विस्फोटकान्सपामानुन्मादं कामलां ज्वरं कण्डूम्| हृद्रोगगुल्मपिडका असृग्दरं गण्दमालां च||१४९|| हन्यादेतत् सर्पिः पीतं काले यथाबलं सद्यः| योगशतैरप्यजितान्महाविकारान्महातिक्तम्||१५०|| इति महातिक्तकं घृतम् saptacchadaṁ prativiṣāṁ śampākaṁ tiktarōhiṇīṁ pāṭhām| mustamuśīraṁ triphalāṁ paṭōlapicumardaparpaṭakam||144|| dhanvayavāsaṁ candanamupakulyāṁ padmakaṁ haridrē dvē| ṣaḍgranthāṁ saviśālāṁ śatāvarīṁ sārivē cōbhē||145|| vatsakabījaṁ yāsaṁ [4] mūrvāmamr̥tāṁ kirātatiktaṁ ca| kalkān kuryānmatimānyaṣṭyāhvaṁ trāyamāṇāṁ ca||146|| kalkaścāturbhāgō [5] jalamaṣṭaguṇaṁ rasō'mr̥taphalānām| dviguṇō ghr̥tātpradēyastatsarpiḥ pāyayētsiddham||147|| kuṣṭhāni raktapittaprabalānyarśāṁsi raktavāhīni| vīsarpāmāmlapittaṁ [6] vātāsr̥k pāṇḍurōgaṁ ca||148|| visphōṭakānsapāmānunmādaṁ kāmalāṁ jvaraṁ kaṇḍūm| hr̥drōgagulmapiḍakā asr̥gdaraṁ gaṇdamālāṁ ca||149|| hanyādētat sarpiḥ pītaṁ kālē yathābalaṁ sadyaḥ| yōgaśatairapyajitānmahāvikārānmahātiktam||150|| iti mahātiktakaṁ ghr̥tam saptacchadaM prativiShAM shampAkaM tiktarohiNIM pAThAm| mustamushIraM triphalAM paTolapicumardaparpaTakam||144|| dhanvayavAsaM candanamupakulyAM padmakaM haridre dve| ShaDgranthAM savishAlAM shatAvarIM sArive cobhe||145|| vatsakabIjaM yAsaM [4] mUrvAmamRutAM kirAtatiktaM ca| kalkAn kuryAnmatimAnyaShTyAhvaM trAyamANAM ca||146|| kalkashcAturbhAgo [5] jalamaShTaguNaM raso~amRutaphalAnAm| dviguNo ghRutAtpradeyastatsarpiH pAyayetsiddham||147|| kuShThAni raktapittaprabalAnyarshAMsi raktavAhIni| vIsarpamamlapittaM [6] vAtAsRuk pANDurogaM ca||148|| visphoTakAnsapAmAnunmAdaM kAmalAM jvaraM kaNDUm| hRudrogagulmapiDakA asRugdaraM gaNdamAlAM ca||149|| hanyAdetat sarpiH pItaM kAle yathAbalaM sadyaH| yogashatairapyajitAnmahAvikArAnmahAtiktam||150|| iti mahAtiktakaM ghRutam

Saptacchada, prativiṣā, śampāka (āragvada), tiktarōhiṇī, pāṭhā, musta, uśīra, triphala, paṭōla, picumarda, parpaṭaka, dhanvayavās, candana, upakulyā (pippali), padmaka haridra, dāruharidra, ṣaḍgrantha, viśālā, śatāvarī, both the type of sāriva (Krsna and sveta), seeds of vatsaka, yāsa, mūrvā, amr̥tā, kirātatikta, yastimadhu and trayamana are taken together and paste is prepared in quantity of one fourth of ghr̥ita. To this water should be added in quantity of 8 times of ghee alongwith juice of amr̥taphala (amalaki) in quantity of twice of ghr̥ita and siddha ghr̥ita should be prepared. It is beneficial in kuṣṭha, raktapitta, serious type of bleeding piles, vīsarpa, amlapitta, vātarakta, pāṇḍurōga, visphōṭakaka, pāmā, unmāda, kāmalā, jwara, kaṇḍū, hr̥drōga, gulma, piḍakā, raktapradar, gaṇdamālā. This ghee should be administered at recommended time and dose according to the strength of patient. This Mahātiktakaghr̥it is useful in above mentioned disease conditions where hundred of other preparations do not cure above diseases. (144-150)

दोषे हृतेऽपनीते रक्ते बाह्यान्तरे कृते शमने [७] | स्नेहे च कालयुक्ते न कुष्ठमनुवर्तते [८] साध्यम्||१५१|| dōṣē hr̥tē'panītē raktē bāhyāntarē kr̥tē śamanē [7] | snēhē ca kālayuktē na kuṣṭhamanuvartatē [8] sādhyam||151|| doShe hRute~apanIte rakte bAhyAntare kRute shamane [7] | snehe ca kAlayukte na kuShThamanuvartate [8] sAdhyam||151|| After shodhan of dosha, blood letting, external and internal shaman therapies and administration of ghee at appropriate time helps in curing skin diseases and also prevents recurrence. (151)

Maha khadita ghee

खदिरस्य तुलाः पञ्च शिंशपासनयोस्तुले| तुलार्धाः सर्व एवैते करञ्जारिष्टवेतसाः||१५२|| पर्पटः कुटजश्चैव वृषः कृमिहरस्तथा| हरिद्रे कृतमालश्च गुडूची त्रिफला त्रिवृत्||१५३|| सप्तपर्णश्च सङ्क्षुण्णा दशद्रोणेषु वारिणः| अष्टभागावशेषं तु कषायमवतारयेत्||१५४|| धात्रीरसं च तुल्यांशं सर्पिषश्चाढकं पचेत्| महातिक्तककल्कैस्तु यथोक्तैः पलसम्मितैः||१५५|| निहन्ति सर्वकुष्ठानि पानाभ्यङ्गनिषेवणात्| महाखदिरमित्येतत् परं कुष्ठविकारनुत्||१५६|| इति महाखदिरं घृतम्

khadirasya tulāḥ pañca śiṁśapāsanayōstulē| tulārdhāḥ sarva ēvaitē karañjāriṣṭavētasāḥ||152|| parpaṭaḥ kuṭajaścaiva vr̥ṣaḥ kr̥miharastathā| haridrē kr̥tamālaśca guḍūcī triphalā trivr̥t||153|| saptaparṇaśca saṅkṣuṇṇā daśadrōṇēṣu vāriṇaḥ| aṣṭabhāgāvaśēṣaṁ tu kaṣāyamavatārayēt||154|| dhātrīrasaṁ ca tulyāṁśaṁ sarpiṣaścāḍhakaṁ pacēt| mahātiktakakalkaistu yathōktaiḥ palasammitaiḥ||155|| nihanti sarvakuṣṭhāni pānābhyaṅganiṣēvaṇāt| mahākhadiramityētat paraṁ kuṣṭhavikāranut||156|| iti mahākhadiraṁ ghr̥tam

khadirasya tulAH pa~jca shiMshapAsanayostule| tulArdhAH sarva evaite kara~jjAriShTavetasAH||152|| parpaTaH kuTajashcaiva vRuShaH kRumiharastathA| haridre kRutamAlashca guDUcI triphalA trivRut||153|| saptaparNashca sa~gkShuNNA dashadroNeShu vAriNaH| aShTabhAgAvasheShaM tu kaShAyamavatArayet||154|| dhAtrIrasaM ca tulyAMshaM sarpiShashcADhakaM pacet| mahAtiktakakalkaistu yathoktaiH palasammitaiH||155|| nihanti sarvakuShThAni pAnAbhya~gganiShevaNAt| mahAkhadiramityetat paraM kuShThavikAranut||156|| iti mahAkhadiraM ghRutam

Five tulā of khadira, one tulā each of śiṁśapa and āsana, half tulā each of karañja, ariṣṭa, vētasa, parpata, kuṭaja, vrsa, kr̥mi hara (viḍaṅga), haridra, kr̥tamāla, guḍūcī, triphala, trivr̥t, saptaparṇa should be cut into small parts and boiled in 10 drōṇa of water and reduced to 1/8th . To this add one ādhaka each of ghrit and juice of āmalaki alongwith one pala of mahātiktaka kalka content. Sneha siddhi should be done; this mahākhadira ghr̥ita when used internally and for application cures all type of kuṣṭha.(152-156)

Treatment of maggots/micro-organisms in kushtha

प्रपतत्सु लसीकाप्रस्रुतेषु गात्रेषु जन्तुजग्धेषु| मूत्रं निम्बविडङ्गे स्नानं पानं प्रदेहश्च||१५७|| prapatatsu lasīkāprasrutēṣu gātrēṣu jantujagdhēṣu| mūtraṁ nimbaviḍaṅgē snānaṁ pānaṁ pradēhaśca||157|| prapatatsu lasIkAprasruteShu gAtreShu jantujagdheShu| mUtraM nimbaviDa~gge snAnaM pAnaM pradehashca||157||

If there is sloughing of phalanges, exudation, maggots than such kuṣṭha patient should use gomūtra, nimba and viḍaṅga in appropriated quantity for bath (dressing), internally and for lepa. (157)

वृषकुटजसप्तपर्णाः करवीरकरञ्जनिम्बखदिराश्च| स्नाने पाने लेपे क्रिमिकुष्ठनुदः सगोमूत्राः||१५८|| vr̥ṣakuṭajasaptaparṇāḥ karavīrakarañjanimbakhadirāśca| snānē pānē lēpē kr̥mi kuṣṭhanudaḥ sagōmūtrāḥ||158|| vRuShakuTajasaptaparNAH karavIrakara~jjanimbakhadirAshca| snAne pAne lepe krimikuShThanudaH sagomUtrAH||158||

Vr̥ṣa, kuṭaja, saptaparna, karavira, karañja, nimba, khadira, along with gomūtra is useful in kr̥imi and kuṣṭha in the form of lepa, internal and external use.(158)

पानाहारविधाने प्रसेचने धूपने प्रदेहे च| कृमिनाशनं विडङ्गं विशिष्यते कुष्ठहा खदिरः||१५९|| pānāhāravidhānē prasēcanē dhūpanē pradēhē ca| kr̥mināśanaṁ viḍaṅgaṁ viśiṣyatē kuṣṭhahā khadiraḥ||159|| pAnAhAravidhAne prasecane dhUpane pradehe ca| kRuminAshanaM viDa~ggaM vishiShyate kuShThahA khadiraH||159||

For internal use in the form of medicine and diet along with external use in the form of prasēcana, dhupan, lepa viḍaṅga which is effective in kr̥imi and khadira which is special drug for kuṣṭha should be used.(159)

एडगजः सविडङ्गो मूलान्यारग्वधस्य कुष्ठानाम्| उद्दालनं श्वदन्ता गोश्ववराहोष्ट्रदन्ताश्च||१६०|| ēḍagajaḥ saviḍaṅgō mūlānyāragvadhasya kuṣṭhānām| uddālanaṁ śvadantā gōśvavarāhōṣṭradantāśca||160|| eDagajaH saviDa~ggo mUlAnyAragvadhasya kuShThAnAm| uddAlanaM shvadantA goshvavarAhoShTradantAshca||160||

Ēḍagaja, viḍaṅga, root of āragvadha and tooth of dog, cow, horse, boar and camel are useful in kuṣṭha.(160)

एडगजः सविडङ्गो द्वे च निशे राजवृक्षमूलं च| कुष्ठोद्दालनमग्र्यं सपिप्पलीपाकलं योज्यम्||१६१|| ēdagajaḥ saviḍaṅgō dvē ca niśē rājavr̥kṣamūlaṁ ca| kuṣṭhōddālanamagryaṁ sapippalīpākalaṁ yōjyam||161|| edagajaH saviDa~ggo dve ca nishe rAjavRukShamUlaM ca| kuShThoddAlanamagryaM sapippalIpAkalaM yojyam||161|| Ēḍagaja, viḍaṅga, haridra, dāruharidra, root of rājavr̥kṣa, pippali, pākala (kuṣṭha herb) are useful in kuṣṭha.(161)

Management of shwitra(vitiligo)

श्वित्राणां सविशेषं [१] योक्तव्यं सर्वतो विशुद्धानाम्| श्वित्रे स्रंसनमग्र्यं मलपूरस इष्यते सगुडः||१६२|| तं पीत्वा सुस्निग्धो यथाबलं सूर्यपादसन्तापम्| संसेवेत विरिक्तस्त्र्यहं पिपासुः पिबेत् पेयाम्||१६३|| śvitrāṇāṁ saviśēṣaṁ [1] yōktavyaṁ sarvatō viśuddhānām| śvitrē sraṁsanamagryaṁ malapūrasa iṣyatē saguḍaḥ||162|| taṁ pītvā susnigdhō yathābalaṁ sūryapādasantāpam| saṁsēvēta viriktastryahaṁ pipāsuḥ pibēt pēyām||163|| shvitrANAM savisheShaM [1] yoktavyaM sarvato vishuddhAnAm| shvitre sraMsanamagryaM malapUrasa iShyate saguDaH||162|| taM pItvA susnigdho yathAbalaM sUryapAdasantApam| saMseveta viriktastryahaM pipAsuH pibet peyAm||163||

In case of śvitrā, shodhan is the specific treatment especially purgation with malapūrasa along with jaggery is the best treatment for leucoderma. The patient must be firstly oleated and should take the above mentioned combination as per his bala and disease bala and later on expose to sunlight. Purgation will be started and whenever patient feels thirsty pēyā should be given for next three days. (162-163)

श्वित्रेऽङ्गे ये स्फोटा जायन्ते कण्टकेन तान्भिन्द्यात्| स्फोटेषु विस्रुतेषु प्रातः प्रातः पिबेत् पक्षम्||१६४|| मलपूमसनं प्रियङ्गुं शतपुष्पां चाम्भसा समुत्क्वाथ्य| पालाशं वा क्षारं यथाबलं फाणितोपेतम्||१६५||

śvitrē'ṅgē yē sphōṭā jāyantē kaṇṭakēna tānbhindyāt| sphōṭēṣu visrutēṣu prātaḥ prātaḥ pibēt pakṣam||164|| malapūmasanaṁ priyaṅguṁ śatapuṣpāṁ cāmbhasā samutkvāthya| pālāśaṁ vā kṣāraṁ yathābalaṁ phāṇitōpētam||165|| shvitre~a~gge ye sphoTA jAyante kaNTakena tAnbhindyAt| sphoTeShu visruteShu prAtaH prAtaH pibet pakSham||164|| malapUmasanaM priya~gguM shatapuShpAM cAmbhasA samutkvAthya| pAlAshaM vA kShAraM yathAbalaM phANitopetam||165||

Eruptions that occur over the hypopigmented patches should be punctured with thorn so that the exudation within the eruptions is removed. Later on for 15 days malapū, asana, priyaṅgu, śatapuṣpā should be boiled in water and should be administered as per strength with pālāśa kṣāra and/or with phāṇita.(164-165)

यच्चान्यत् कुष्ठघ्नं श्वित्राणां सर्वमेव तच्छस्तम्| खदिरोदकसंयुक्तं खदिरोदकपानग्र्यं वा||१६६|| yaccānyat kuṣṭhaghnaṁ śvitrāṇāṁ sarvamēva tacchastam| khadirōdakasaṁyuktaṁ khadirōdakapānagryaṁ vā||166|| yaccAnyat kuShThaghnaM shvitrANAM sarvameva tacchastam| khadirodakasaMyuktaM khadirodakapAnagryaM vA||166|| All the treatment which is kuṣṭhaghna is also useful in śvitrā especially drinks of khadira or mixed with decoctions of khadira.(166)

समनःशिलं विडङ्गं कासीसं रोचनां कनकपुष्पीम्| श्वित्राणां प्रशमार्थं ससैन्धवं लेपनं दद्यात्||१६७|| samanaḥśilaṁ viḍaṅgaṁ kāsīsaṁ rōcanāṁ kanakapuṣpīm| śvitrāṇāṁ praśamārthaṁ sasaindhavaṁ lēpanaṁ dadyāt||167|| samanaHshilaM viDa~ggaM kAsIsaM rocanAM kanakapuShpIm| shvitrANAM prashamArthaM sasaindhavaM lepanaM dadyAt||167|| Manaḥśila, viḍaṅga, kāsīsa, gorōcana, kanakapuṣpī (svarnakshri) and saindhava when applied externally is useful in leucoderma.(167)

कदलीक्षारयुतं वा खरास्थि दग्धं गवां रुधिरयुक्तम्| हस्तिमदाध्युषितं वा मालत्याः कोरकक्षारम्||१६८|| नीलोत्पलं सकुष्ठं ससैन्धवं हस्तिमूत्रपिष्टं वा| मूलकबीजावल्गुजलेपः पिष्टो गवां मूत्रे||१६९|| काकोदुम्बरिका वा सावल्गुजचित्रका गवां मूत्रे| पिष्टा मनःशिला वा संयुक्ता बर्हिपित्तेन||१७०|| लेपः किलासहन्ता बीजान्यावल्गुजानि लाक्षा च| गोपित्तमञ्जने द्वे पिप्पल्यः काललोहरजः||१७१|| kadalīkṣārayutaṁ vā kharāsthi dagdhaṁ gavāṁ rudhirayuktam| hastimadādhyuṣitaṁ vā mālatyāḥ kōrakakṣāram||168|| nīlōtpalaṁ sakuṣṭhaṁ sasaindhavaṁ hastimūtrapiṣṭaṁ vā| mūlakabījāvalgujalēpaḥ piṣṭō gavāṁ mūtrē||169|| kākōdumbarikā vā sāvalgujacitrakā gavāṁ mūtrē| piṣṭā manaḥśilā vā saṁyuktā barhipittēna||170|| lēpaḥ kilāsahantā bījānyāvalgujāni lākṣā ca| gōpittamañjanē dvē pippalyaḥ kālalōharajaḥ||171|| kadalIkShArayutaM vA kharAsthi dagdhaM gavAM rudhirayuktam| hastimadAdhyuShitaM vA mAlatyAH korakakShAram||168|| nIlotpalaM sakuShThaM sasaindhavaM hastimUtrapiShTaM vA| mUlakabIjAvalgujalepaH piShTo gavAM mUtre||169|| kAkodumbarikA vA sAvalgujacitrakA gavAM mUtre| piShTA manaHshilA vA saMyuktA barhipittena||170|| lepaH kilAsahantA bIjAnyAvalgujAni lAkShA ca| gopittama~jjane dve pippalyaH kAlaloharajaH||171||

1) Kadalīkṣāra and bone ash of ass with blood of cow. 2) kṣāra of flower buds of mālati mixed with hastimada (crut of elephant). 3) Nīlōtpala, kuṣṭha (herb), saindhava mixed with elephant urine. 4) Seed of mūlaka and bakuchi with cows’ urine. 5) Kākōdumbar along with bakuchi, citraka and cows urine. 6) Manaḥśilā with peacocks’ bile. 7) Seeds of avalguja, lākṣā, cow bile, both type of añjana (rasāñjana and sauvirāñjan) pippali and powder of kalaloha. The above 7 combination of lepa is useful in leucoderma.(168-171)

शुद्ध्या शोणितमोक्षैर्विरूक्षणैर्भक्षणैश्च सक्तूनाम्| श्वित्रं कस्यचिदेव प्रणश्यति क्षीणपापस्य||१७२|| śuddhyā śōṇitamōkṣairvirūkṣaṇairbhakṣaṇaiśca saktūnām| śvitraṁ kasyacidēva praṇaśyati kṣīṇapāpasya||172|| shuddhyA shoNitamokShairvirUkShaNairbhakShaNaishca saktUnAm| shvitraM kasyacideva praNashyati kShINapApasya||172|| After shodhan therapy raktamōkṣana and also intake of ununctuous food like saktū (roasted corn flour) leucoderma is cured only in few who are free from effects of sinful deeds. (172)

Various stages of shwitra

दारुणं चारुणं [१] श्वित्रं किलासं नामभिस्त्रिभिः| विज्ञेयं त्रिविधं तच्च [२] त्रिदोषं प्रायशश्च तत्||१७३|| दोषे रक्ताश्रिते रक्तं ताम्रं मांससमाश्रिते| श्वेतं मेदःश्रिते श्वित्रं गुरु तच्चोत्तरोत्तरम्||१७४|| dāruṇaṁ cāruṇaṁ [1] śvitraṁ kilāsaṁ nāmabhistribhiḥ| vijñēyaṁ trividhaṁ tacca [2] tridōṣaṁ prāyaśaśca tat||173|| dōṣē raktāśritē raktaṁ tāmraṁ māṁsasamāśritē| śvētaṁ mēdaḥśritē śvitraṁ guru taccōttarōttaram||174|| dAruNaM cAruNaM [1] shvitraM kilAsaM nAmabhistribhiH| vij~jeyaM trividhaM tacca [2] tridoShaM prAyashashca tat||173|| doShe raktAshrite raktaM tAmraM mAMsasamAshrite| shvetaM medaHshrite shvitraM guru taccottarottaram||174|| Dāruṇa, Cāruṇa, and Kilāsa are the various synonyms for śvitrā. It is of 3 types and generally all the tridosha are involved. If the dosha responsible for śvitrā are seated in the rakta dhatu then the colour of hypopigmentation is red. It is coppery coloured if dosha are seated in māṁsa dhatu and whitish in colour if located in meda dhatu. The subsequent ones are more difficult to treat than earlier ones.(173-174)

Prognosis of vitiligo

यत् परस्परतोऽभिन्नं बहु यद्रक्तलोमवत्| यच्च वर्षगणोत्पन्नं तच्छ्वित्रं नैव सिध्यति||१७५|| अरक्तलोम तनु यत् पाण्डु नातिचिरोत्थितम्| मध्यावकाशे चोच्छूनं श्वित्रं तत्साध्यमुच्यते||१७६|| yat parasparatō'bhinnaṁ bahu yadraktalōmavat| yacca varṣagaṇōtpannaṁ tacchvitraṁ naiva sidhyati||175|| araktalōma tanu yat pāṇḍu nāticirōtthitam| madhyāvakāśē cōcchūnaṁ śvitraṁ tatsādhyamucyatē||176|| yat parasparato~abhinnaM bahu yadraktalomavat| yacca varShagaNotpannaM tacchvitraM naiva sidhyati||175|| araktaloma tanu yat pANDu nAticirotthitam| madhyAvakAshe cocchUnaM shvitraM tatsAdhyamucyate||176||

If the patches are conjoined together and are more in number, if the body hair above the patches are red in colour and if the disease is more than one year old. Such śvitrā never gets cured. If body hair over the patches is not red if skin is thin and pale in colour. The disease, if is not old, space between patches is elevated then such śvitrā is sādhya (curable). ( 175-176)

Meta-physical causes of kilasa

वचांस्यतथ्यानि कृतघ्नभावो निन्दा सुराणां [१] गुरुधर्षणं च| पापक्रिया पूर्वकृतं च कर्म हेतुः किलासस्य विरोधि चान्नम्||१७७|| vacāṁsyatathyāni kr̥taghnabhāvō nindā surāṇāṁ [1] gurudharṣaṇaṁ ca| pāpakriyā pūrvakr̥taṁ ca karma hētuḥ kilāsasya virōdhi cānnam||177|| vacAMsyatathyAni kRutaghnabhAvo nindA surANAM [1] gurudharShaNaM ca| pApakriyA pUrvakRutaM ca karma hetuH kilAsasya virodhi cAnnam||177|| Untruthfulness, ungratefulness, no respect for the gods, disrespect for the peers (guru), sinful acts, and misdeeds of past life and intake of mutually contradictory food are the causes for śvitrā.(177)

Summary

तत्र श्लोकाः- हेतुर्द्रव्यं लिङ्गं विविधं ये येषु चाधिका दोषाः| कुष्ठेषु दोषलिङ्गं समासतो दोषनिर्देशः||१७८|| साध्यमसाध्यं कृच्छ्रं कुष्ठं कुष्ठापहाश्च ये योगाः| सिद्धाः किलासहेतुर्लिङ्गं गुरुलाघवं तथा शान्तिः||१७९|| इति सङ्ग्रहः प्रणीतो महर्षिणा कुष्ठनाशनेऽध्याये| स्मृतिबुद्धिवर्घनार्थं शिष्याय हुताशवेशाय||१८०||

tatra ślōkāḥ- hēturdravyaṁ liṅgaṁ vividhaṁ yē yēṣu cādhikā dōṣāḥ| kuṣṭhēṣu dōṣaliṅgaṁ samāsatō dōṣanirdēśaḥ||178|| sādhyamasādhyaṁ kr̥cchraṁ kuṣṭhaṁ kuṣṭhāpahāśca yē yōgāḥ| siddhāḥ kilāsahēturliṅgaṁ gurulāghavaṁ tathā śāntiḥ||179|| iti saṅgrahaḥ praṇītō maharṣiṇā kuṣṭhanāśanē'dhyāyē| smr̥tibuddhivarghanārthaṁ śiṣyāya hutāśavēśāya||180||

tatra shlokAH- heturdravyaM li~ggaM vividhaM ye yeShu cAdhikA doShAH| kuShTheShu doShali~ggaM samAsato doShanirdeshaH||178|| sAdhyamasAdhyaM kRucchraM kuShThaM kuShThApahAshca ye yogAH| siddhAH kilAsaheturli~ggaM gurulAghavaM tathA shAntiH||179|| iti sa~ggrahaH praNIto maharShiNA kuShThanAshane~adhyAye| smRutibuddhivarghanArthaM shiShyAya hutAshaveshAya||180||

Etiology, dravya (Tridosha, rasa, rakta, māṁsa, ambu), various signs and symptoms, predominancy of dosha in various kuṣṭha and \symptoms as per type of vitiated dosha, curable and difficult to cure types of kuṣṭha, preparation useful in kuṣṭha. Similarly etiology, symptoms, curable and incurable symptoms and treatment of śvitrā have been explained. The above detailed description has been given by Acharya Lord Punarvasu with a view of sharpening the memory and intellect of disciple Agnivēśā.

Tattva Vimarsha

• Important etiological factors for skin diseases include: Diet and beverages with antagonistic properties, excess intake of liquid, unctuous, heavy to digest food, suppression of natural urges specially that of emesis, excess exercise, exposure to excess heat, excessive eating, quick change in environmental temperature, inappropriate follow up of purification procedures, eating new grains, curd, fish, sesame, excessive salty and sour food, black gram, radish, milk, sugar products, following daytime sleep, and bad thoughts and deeds towards worshipful persons. • These factors vitiate water component of skin, blood, muscular layer and other layers of skin and localize three dosha in the skin to cause kushtha, layer by layer. • Variable skin manifestations of kushtha depend upon degree of involvement of three vitiated dosha and their effect on four dhatus i.e. rasa, rakta, mansa and lasika. • With involvement of first and second layer, prodromal symptoms appear. Third and fourth layer involvement results in minor kushtha. Fifth and sixth layer involvement causes mahakushtha. • Dryness, atrophy, pricking pain / paraesthesia, pain, constriction or loss of elasticity, hardness, roughness, horripilation, blackish, brownish, slight reddish in colour are manifestation of vata dosha. Burning sensation, redness, exudation, suppuration, offensive smell, stickiness / moist and sloughing of body parts are the symptoms caused by predominancy of pitta dosha. Kapha dosha is responsible for symptoms like whitish discolouration, cold in touch, pruritus, non-progressive / slow progression of disease, elevated; heaviness and oiliness are presented alongwith maggot’s formation and stickiness like symptoms. • Different degree of doshic involvement determines the color, shape, size, symptoms and discharge from the lesions. The treatment differs as per dominance of dosha. Sr. No. Dosha Predominant sign Treatment principle 1. Vata dosha Dryness, atrophy, pricking pain / paraesthesia, pain, constriction or loss of elasticity, hardness, roughness, horripilation, blackish, brownish, slight reddish in colour Ghee 2. Pitta dosha Burning sensation, redness, exudation, suppuration, offensive smell, stickiness / moist and sloughing of body parts Virechana (therapeutic purgation) raktamokshana (bloodletting) 3. Kapha dosha Whitish discolouration, cold in touch, pruritus, non-progressive/ slow progression of disease, elevated; heaviness and oiliness, stickiness, maggot infestation Vamana (therapeutic emesis)

• If all symptoms appear simultaneously, then the kushtha is untreatable. Similarly, immune-compromised patients and those suffering from morbid thirst, burning sensation, loss of digestive power and lesions have maggots then the prognosis is bad. Vata kapha dominant and single dosha predominated kushtha are easily curable. Whereas kapha pitta and vata pitta dominated kushtha are kricchra sadhya i.e. curable with difficulty. • If the skin lesion is small, then prachchanna [bloodletting by rubbing with coarse device] should be done. If the skin lesions are large and spread all over body, siravyadha [ venesection] should be done for bloodletting. • Frequent body purification procedures are needed in treatment of skin diseases. The treatment includes internal purification in the form of therapeutic emesis, purgation etc and external purification in the form of local applications of lepa of purifying herbs. • Shwitra may be caused by meta-physical causes like sinful deeds and those in previous life. • Therapeutic purgation is main principle of management in shwitra (vitiligo). • Exposure to sunlight is one of the treatments of shwitra.

Vidhi Vimarsha

Six layers of skin

In the context of Kushtha, four aspects of skin are important. First is that it consists of six layers, and each layer is seat of specific type of gradually progressing kushtha. Following highlighted part should be in vidhi (1) First layer Udakadhara, external most layer is responsible for water metabolism. Initial pathology of minor types of kushtha starts with excessive sweating/ discoloration/itching swelling/ altered tectile sense in prodromal stage of kushtha indicative of impairment of water metabolism. This layer may be correlated with stratum corneum. (2) Second layer is Asragdhara, which contains the blood metabolites and impurities of blood trigger the pathology of kushtha and manifest as –bluish black, red, rashes/ pricking pains/ and ulceration. This layer may be correlated with stratum lucidum, (3) Third layer of skin is the seat of Sidhma and Kilas Kushtha. 3rd layer may be correlated with stratum granulosum. (4) Fourth layer is seat of Dadru and Krushtha. 4th layer may be correlated with stratum germinosum (combination of spinosum and basale layers), (5) Fifth layer of skin is seat of makushtha and severe dermal pathologies. 5th layer may be correlated with Papillary layer. (6) Sixth layer is the seat of most severe mahakushtha, which are incurable. 6th layer may be compared with Reticular layer. (Ch. Sharir 7/ 4)

Patho-physiology of kushtha

1. Kapāla Kuṣṭha

It is rūkṣa, paruṣa, khara in nature which signifies the increase of rūkṣa, khara guna at the level of skin. Roughness, dryness increases when there is destruction of sweat glands (dusti of ambu dhatu), decrease in essential fatty acids (reduce snigdhata of meda inturn kapha), proliferation of keratinocytes. Primary lesion manifest in the form of dry, rough and blackish brownish colour. Secondary lesion includes loss of sensation (due to degeneration of nerve endings or less nutrition to the nerve tissue due to atherosclerosis or reduce blood supply) severe pricking pain (nistōda) itching, burning sensation and pustular presentation. Thus conditions of non erythematous eczema, keratosis, atrophic actinic keratosis, non hypertrophic keratosis, seborrhic conditions can be understood in Kapāla Kuṣṭha.

2. Udumbara kuṣṭha

It is pitta dominated kuṣṭha. Hyperpigmentation, increased vasocongestion, burning, pain and pus formation are the symptoms and signs. Primary lesion manifest as red in colour associated with pus, burning sensation caused mainly due to pitta and rakta. Usna and tiksna guna is responsible for the same. Secondary lesion include kleda, kotha, body hair attains brownish colour, excessive secretion due to sasneha, sara and drava guna of pitta and rakta. Thus infective and inflammatory phase is being explained. Increased flow of inflammatory factors causes rise in temperature, redness and burning sensation. Eczema is inflammation of the skin. It is characterized by erythematous, vesicular, weeping, itchy and crusting patches. The condition is caused by dysfunctional interplay between the immune system and skin. Dyshidrosis, discoid eczema, venous eczema, dermatitis herpetiformis, autoeczematization, eczema overlaid by viral infections can be understood under Udumbara kuṣṭha.

3. Mandala Kuṣṭha

Itis predominated by kapha dōṣa. The sthira, snigdha guna brings about sthirata and snigdhata to the Kuṣṭha. Therefore the lesion is granulomatous in presentation. The early and indeterminate leprosy especially Lepromatous leprosy is a skin condition consisting of pale macules. It results from failure of Th1 cell activation which is necessary to eradicate the mycobacteria. In Lepromatous Leprosy Th2 response is turned on and because of reciprocal inhibition the cell mediated response is depressed.

4. Rushyajivha kushtha

It is dominated by vāta and pitta dōṣa. Vāta dōṣa brings roughness, pain whereas pitta is responsible for the discolouration, burning sensation whereas both the dōṣa are responsible for ashugati and samuthan. Thus inflammatory and degenerative changes dominate the condition. Pathogenesis involving infective origin or allergic origin may be included. Diseases such as Lyme disease may be included. Expanding redness known as erythema migrans begins at the site of bite after a period of one week. There is no much itching i.e. alpa kandu but the rash is red and warm but generally painless. Classically the innermost portion remain darker red and becomes indurated (is thicker and firmer).

5. Pundarika kushtha

It is dominated by pitta and kapha. Pitta is responsible for redness, burning sensation, pāka, pus formation whereas kapha is responsible for whitish nature, itching and kr̥mi. Primary lesion manifest as “rakta rāji sirā santata utsedavanti” i.e. vessel are inflamed and are palpable. Systemic vasculitis may affect the skin and vascular damage may be the main feature in several skin diseases. The histological features that are common are:- Vessel wall damage , red cell extravasation , invasion of inflammatory cells into vessel walls.

6. Sidhma kushtha

It is dominated by vāta kapha dōṣa, fine powder falls after scratching and resembles colour similar to flower of alābū. The specialty of disease is that it is mainly seen in urabhāga i.e. trunk. Tinea versicolar is a condition characterized by a skin eruption on the trunk and proximal extremity. The symptoms of this condition include; fine scaling of the skin producing a very superficial ash like scale. Pale (sveta), dark tan (arun), pink in colour (shukla rakta avabhasani) with a reddish undertone (tamra) that can darken when the patient is overheated, such as in a hot shower or during/ after exercise, tanning typically makes the affected areas contrast more starkly with the surrounding skin leading to sharp borders. In people with dark skin tones, pigmentary changes such as hypopigmentation (loss of colour) are common while in those with lighter skin colour hyperpigmentattion (increase in skin colour) is more common. The yeast is thought to feed on skin oils (lipids) as well as dead skin cells.

7.Kakanaka kushtha

It is predominated by all the three dōṣa. Thus symptoms of all three dōṣa are observed. The presentation is similar to gunjā i.e bright red with black spot. In nidānsthān Caraka has explained it to be of different colours and it is asadhya. Squamous cell carcinoma or squamous cell cancer or epidermoid carcinoma or squamous cell epithelioma is a cancer of a kind of epithelial cell, the squamous cell. These cells are the main part of the epidermis of the skin, and this cancer is one of the major forms of the skin cancer. However, squamous cells also occur in the lining of the digestive tract, lungs and other areas of body and squamous cell carcinoma occurs as a form of cancer in diverse tissue such as lips, mouth, oesophagus, urinary bladder, prostrate, lung, vagina and cervix. Despite sharing the name squamous cell carcinoma there may be tremendous differences in presenting symptoms, natural history, prognosis and response to treatment. It arises from the uncontrolled multiplication of cells of epithelium, or cells showing particular cytological or tissue architectural characteristic of squamous cell differentiation, such as the presence of keratin, tonofilament bundles or dermosomes structures involved in cell to cell adhesion. This non melanoma skin cancer may appear as a firm red nodule, a scaly growth that bleeds or develops a crust or a sore that doesn’t heal.

Minor kushtha

1.Eka kuṣṭha

It is a skin disease caused due to vāta kapha predominancy. As discussed previously vāta dōṣa is responsible for the degenerative or destructive changes where as kapha is responsible for obstructive changes. Asvēdana (Anhidrosis) may be caused by destruction of sweat glands and or integumetary system it may be due to autoimmune process or infection or anhidrosis may be due to osbstruction (kapha) in the outlet or blood supply as in microangiopathy. Stimulation of acetylcholine and further ionic changes caused thereafter are responsible for sweating. Lack of such impulse also causes reduced sweating. Astanga Sangrahakar has explained role of vyan vāyu in sweda which when hampered leads to anhidrosis. Anhidrosis can occur as an isolated condition or as part of a group of symptoms associated with other diseases. Anhidrosis can also occur after skin has been injured, because sweat glands are clogged or obstructed, as an inherited defect, or as a side effect of medication. Reduced sweating increases dryness of skin which is presented as rough, scaly or flaky skin. The word ichthyosis comes from ancient Greek where ichthys means fish. All types of ichthyosis have dry, thickened scaly or flaky skin. Ichthyosis vulgaris is a skin condition that causes dry, dead skin cells to accumulate in patches on the surface of skin. It is also known as “fish scale disease” because the dead skin accumulates in a similar pattern to a fish scale.

2. Charmakhya

Skin is similar to elephant (pachyderms) and thick is nature pachys means thick and derma means skin.

The main symptom is skin getting thick thus disease like scleroderma, onchocerciasis, harlequin ichthyosis etc can be considered in this group.

Building up of collagen is associated with thickening of skin. Transport of fats into the space between the skin cells may be another reason for thickening of skin.

Research shows that in diabetic patient thickness of skin is observed reason being collagen bundles become large, disorganized and separated by clear spaces. Small amount of acid mucopolysachrides may be present in upper reticular dermis. Presence of active fibroblast and extensive collagen polymerization in the rough endoplasisic reticulam may be the pathogenesis for thick skin.

Calcium deposition may also be cause for tough and thick skin. Rūkṣata, kharata, guna of vāta and shita guna of vāta and kapha alongwith increase of guruta, manda and sthira guna of kapha contribute to thickening of skin. Khara is also property of asthi dhatu which is generated by interplay between prithvi, agni and vāyu. Here calcium is representative of prithvi mahabhut. So prithvi mahabhut bhuyista āhar or increased parthivagni can lead to increase absorption of calcium from gastrointestinal tract.

3. Kitibha kushtha

Skin diseases in which process of tissue granulation takes place is Kiṭibha kuṣṭha. When this process takes abnormally Kiṭibha kuṣṭha is formed. It may take place in psoriasis, lichen planus, lichen sclerosis. Granulation tissue appearance is light red or dark pink in colour (śyāva), being perfused with new capillary loops or buds granular in appearance. Formation of extracellular matrix gives it hard touch and abnormal productions of skin cells (especially during wound repair) leading to overabundance of skin cells. Premature maturation of keratinocytes induced by an inflammatory cascade in the dermis also contributes for the same.

Vāta, rakta, māṁsa, kapha all take part in healing of wound but whenever abnormality at the level of these factors takes place granulation process is hampered which gives the kiṇakharasparśa

4. Vaipadika kushtha

Skin fissure is a cutaneous condition in which there is a linear like cleavage of skin, sometimes defined as extending into the dermis. Skin dryness is the cause.

Cracked skin is often kicked off by a vicious cycle of events starting off as a minor, but leading to painful deep cracks. Plain old dry skin can lead to scaling, scaling can cause itchiness leading to scratching and scratching can cause inflammation and tears of skin that can become fissures which leads to more irritation and pain.

Healthy skin has slightly acidic pH, exposure to substances with an alkaline pH such as many commercial cleansers and hand soaps also contribute to interruptions of skin integrity. Once the skin integrity is disturbed, a homeostatic repair mechanism is stimulated that causes the rapid repair of barrier function. Continued exposure to alkaline substances will slow down repair by inhibiting normal skin acidity when there is continued exposure to unfavourable environmental factors. Anhidrosis, Dermatitis, Diabetic neuropathy, Eczema, Hypothyroidism, Psoriasis, cold weather, excessive exposure to hot water, detergent chemicals and low humidity can cause cracked skin.

4.Alasaka kushtha

Ganda here means nodular growth. Chronic and repetitive scratching, picking or rubbing may result in permanent changes to the skin, including nodular lichenification (ganda), hyperkeratosis, hyperpigmentation (rāga) and skin thickening. Nodular prurigo cause is unknown. It is uncertain whether scratching leads to lumps, or if the lumps appear before they are scratched. The reason for the lumps, the inflamation and the increased activity and size of nerves in the skin is under investigation but remains unknown Prurigo nodularis, Hyde’s diseases, picker nodules, lichen corneus obtusus, nodular lichen simplex chronicus, nodular neurodematitis circumscripta are various synonyms. The constant scratching leads to development of discrete, excoriated nodular hyperpigmented / purpuric lesion with crusted or scaly surfaces.

The wart like plaque may be observed in Dermatosis neglecta; an skin condition in which accumulation of sebum, keratin, sweat, dirt and debris lead to localized patch of skin. Dryness is the main cause for the above pathogenesis and role of vāta and kapha in causing dryness is already been discussed.

Vichārchikā

It is cause by kapha dominated condition. Kapha by its snigdha, guru, mridu and sita guna when increased above normal condition it leads to obstructive changes at the integumentary system. Reduced blood supply causes blackish brown discolouration. Further obstructive changes reduce the local immunity and give a chance for dermatophytes to penetrate the skin barrier. It results in eruptions and thereby causing excessive exudation. Secondary infection and reduced blood supply is cause for pruritus. It can be compared with wet eczema. Table 2. Comparison of Ksudhra kustha with its Modern resembelance Sr.No. Type of Kustha Co-relation with Modern 1. Eka kuṣṭha Ichthyosis vulgaris, psoriasis 2. Carmākhya Kuṣṭha scleroderma, onchocerciasis, harlequin ichthyosis 3. Kitibha Kuṣṭha psoriasis, lichen planus, lichen sclerosis. 4. Vaipādika kuṣṭha Anhidrosis, Dermatitis, Diabetic neuropathy, Eczema, Hypothyroidism, Psoriasis, cold weather, excessive exposure to hot water, detergent chemicals and low humidity can cause skin fissure, palm and sole psoriasis 5. Alasaka Kuṣṭha Nodular prurigo, Dermatosis neglecta 6. Dadru kuṣṭha Tinea corpora or ringworm of the body, Tinea faciei or Facial Ringworm, Tinea Capitis Or Blackdot Ringworm, Tinea Capitis or Scalp Ringworm, Tinea Manuum or Ringworm of the Hands, Onychomycosis, Tines Unguium or Ringworm of the nail, Impetigo, Moccasin type of Tinea Pedis 7. Carmadala Kuṣṭha Pre ulcerative phase of Ecthyma, Interdigital type of tinea pedis (athlete’s foot) 8. Visphōṭa kuṣṭha Bullous Impetigo, Vesicular type of tinea pedis (athlete’s foot), Folliculitis, Malassezia folliculitis, Eosinophilic folliculitis 9. Pāmā kuṣṭha Scabies 10. Śatāru kuṣṭha Furuncle 11. Vicārcikā kuṣṭha Wet Eczema

Current clinical management of skin diseases

Principal treatment modalities: 1. Internal and external application of sneha (medicated ghee or oil) 2. Shodhana (purification therapies) 3. Raktamokshana ( blood letting) Principal drugs: 1. Gandhaka (sulphur) 2. Nimba 3. Bakuchi 4. Hartal 5. Haridra 6. Manjishtha 7. Khadira 8. Sariva 9.Patol 10. Lodhra Medicines:( Referrred from Chikitsa Pradip): Type Kalpa Dose Time Anupana Vata dominant (Kapala) Swatambhu guggulu 500-1000 mg Between meals Ghee + honey Haratal bhasma 60-120 mg After meals Ghee + sugar Pitta dominant (Audumbara) Tala bhasma mixture 120-250 mg During meals Ghee + sugar Kapha dominant (Mandala) Aarogyavardhini 250-500 mg Before meals Ghee + Honey Karavira twak powder 30-60 mg After meals Ghee + Honey Vata-Pitta dominant (Rushya jivha) Sarvangasundari vati 500-1000mg Between meals Ghee + sugar Katu kapittha oil 5-20 drops Before meals Ghee + sugar Kapha-pittaja (pundarika) As per dosha dominance Vata Kaphaja (Sidhma) As per dosha dominance Tridoshaja (Kakanaka) As per dosha dominance Vicharchika Aarogya mixture 500-1000 mg Between meals Khadirarishta Vaipadika and Alasaka Swayambhu guggulu 250-500 mg After meals Khadirarishta Dadru-Charmadala and Pama-Kachchu –shataru Aarogya mixture 500-1000 mg Between meals Manjishthadi kwatha Nimba-gandhaka churna 350-750 mg Between meals Ghee + sugar Gandhaka druti 2-5 drops Between meals Milk Eka kushtha- charma kushtha –kitibha Gandhaka rasayana 250-500 mg After meals Ghee + sugar Shwitra Aarogyavardhini 250-500 mg After meals Ghee + sugar Karavira mula twak powder 30-60 mg After meals Ghee + sugar Bakuchi seed powder 750-1500 mg After meals Khadira + Aamalaki kashaya Sarvanga sundari vati 500 -1000 mg After meals Ghee

Further reading

  1. Adrienne Santos-Longhurst Type 2 Diabetes and Skin Health published Published on September 8, 2014, http://www.healthline.com/health/type-2-diabetes/skin-problems
  2. Ca.Sa.7/4, Charak Samhita By Agnivesha edited by Yadavji Trikamji Acharya-Munshiram Manoharlal Publishers Pvt. Ltd. 4th Edition.
  3. Ca. Vi. 8/103, Ibid
  4. Ca. Su. 17/, Ibid
  5. Ca. Vi. 8/106, Ibid
  6. Ca.Su.26/81 Chakrapani, Ibid
  7. Ca. Su. 26/85 Chakrapani, Ibid
  8. Ca.Ci.15/35, Ibid
  9. Ca.Su.24/9, Ibid
  10. Ca.Ci.15/, Ibid
  11. Ca Su 7/38 Ibid
  12. Ca.Su.27 / 238, Ibid
  13. Ca.Su.27 / 30, Ibid
  14. Ca.Su.27 / 24, Ibid
  15. Ca.Su.26 / 43 (2), Ibid
  16. Ca.Su.26 / 43 (3), Ibid
  17. Su.Ni.5/30, Susruta Samhita Of Susruta edited by Yadavji Trikamji Acharya- Chaukhamba Orientalia, Varanasi- 6th Edition.
  18. Ca.Ni.5/4, Charak Samhita By Agnivesha edited by Yadavji Trikamji Acharya-Munshiram Manoharlal Publishers Pvt. Ltd. 4th Edition
  19. Ca. Ci 28/ 226, Ibid
  20. Ca.Su.17/65, Ibid
  21. Ca.Ci.3/285 286, Ibid
  22. Ca. Si 11/12, Ibid
  23. Ca.Ci.7/39 -42 Chakrapani, Ibid
  24. Ca. Ci. 7/39, Ibid
  25. Ca.Su.5/29-32, Ibid
  26. Guerra L, Dellambra E, Brescia S, Raskovic D, Vitiligo: pathogenetic hypotheses and targets for current therapies, 2007 [PubMed]
  27. Tareke E, Rydberg P, Karlsson P, Eriksson S, Törnqvist M. Acrylamide: A cooking carcinogen? Chem Res Toxicol. 2000;13:517–22. [PubMed]
  28. Esterbauer H, Schaur RJ, Zollner H. Chemistry and biochemistry of 4-hydroxynonenal, malonaldehyde and related aldehydes. Free Radic Biol Med. 1991;11:81–128. [PubMed]
  29. Principles of Anatomy and Physiology, G.Tortora, B. Ericksons 12th Edition
  30. Type 2 Diabetes and Skin Health published by American Diabetic Association 2012
  31. Nathalie Piccardi and Patricia Manissier, Nutrition and nutritional supplementation Impact on skin health and beauty,2008 [PubMed]
  32. Wall M (March 2008). "Idiopathic intracranial hypertension (pseudotumor cerebri)". Current Neurology and Neuroscience Reports 8 (2): 87–93. doi:10.1007/s11910-008-0015-0. PMID 18460275.
  33. Tetsuya Endo, Professor at the Health Sciences University of Hokkaido, Whale, high source of Mercury Poisoning, 2000
  34. Harrison’s Principles Of Internal Medicine –Mc Graw Hill Medical Publication- 17th Edition, Volume I, 308
  35. Cutaneous Condition, The British Association of Dermatologist published by Wikipedia, 2003.
  36. Harrison’s Principles Of Internal Medicine –Mc Graw Hill Medical Publication- 17th Edition, Volume I pg. 1023.
  37. Ca. Ni.4/3, Charak Samhita By Agnivesha edited by Yadavji Trikamji Acharya-Munshiram Manoharlal Publishers Pvt. Ltd. 4th Edition
  38. S Yadav, D De, and A J Kanwar Reverse Koebner Phenomenon In Leukocytoclastic Vasculitis Indian J Dermatol. 2011 Sep-Oct; 56(5): 598–599. doi: 10.4103/0019-5154.87169 PMCID: PMC3221237
  39. Malakar S, Dhar S. Spontaneous repigmentation of vitiligo patches distant from the autologous skin graft sites: A remote reverse Koebner's phenomenon? Dermatology. 1998;197:274. [PubMed]
  40. Loren Pickart et al; Taking Vitamin C with Sulfur Provides Your Body the Ultimate Cellular Protection! Published by skin biology forum, 2014
  41. Loren Pickart et al; The Essentials Of Copper Your Body’s Protective and Anti-Aging Metal: Published by skin biology forum, 2014.

References related to photographs

  1. link: https://www.skincheck.com.au/skinclinic/solar-keratosis/
    1. link: https://web.stanford.edu/group/parasites/ParaSites2005/Leprosy/pictures/borderline%20tuberculoid%20leprosy.jpg
  2. link: http://static.wikidoc.org/0/01/Nodular_leprosy_of_childhood01.jpg
    1. link: https://s-media-cache-ak0.pinimg.com/236x/4d/89/e8/4d89e81ed003cbaf42bfb7f1de58f0c3.jpg
    2. link: http://www.nhs.uk/Conditions/Eczema-(varicose)-/PublishingImages/varicose_eczema_342x198_C0130854.jpg
    3. link: http://healthh.com/wp-content/uploads/2014/05/dyshidrotic-eczema-pictures-2.jpg
  3. link: http://www.dermaamin.com/site/images/clinical-pic/b/borderline_lepromatous_leprosy/borderline_lepromatous_leprosy1.jpg
    1. link: http://www.waent.org/archives/2012/Vol5-1/20120410-ear-skin-lesions/9-Lepromatous_Leprosy-820.jpg
  4. link: http://www.dermaamin.com/site/images/clinical-pic/L/leprosy_borderline/leprosy_borderline26.jpg
    1. link: https://upload.wikimedia.org/wikipedia/commons/0/01/Erythema_migrans_-_erythematous_rash_in_Lyme_disease_-_PHIL_9875.jpg
  5. link: http://medlibes.com/uploads/Screen%20shot%202010-07-04%20at%202.45.58%20PM.png
  6. link: http://www.skinsight.com/images/dx/webTeen/pityriasisAlba_53803_lg.jpg
    1. link: http://www.skinsight.com/images/dx/webAdult/tineaVersicolor_877_lg.jpg
    2. link: http://www.skinsight.com/images/dx/webAdult/tineaVersicolor_2767_lg.jpg
    3. link: http://healthh.com/wp-content/uploads/2014/05/pityriasis-alba-pictures-4.jpg
  7. link: http://static.wikidoc.org/1/15/Squamous_cell_carcinoma_oral_001.jpg
  8. link: https://upload.wikimedia.org/wikipedia/commons/9/9f/Squamous_Cell_Carcinoma.jpg
  9. link: http://www.skinsight.com/images/dx/webAdult/ichthyosisVulgaris_5205_lg.jpg
    1. link: http://www.epainassist.com/images/Ichthyosis-Vulgaris.jpg
  10. link: http://www.dermnet.com/dn2/allJPG3/scleroderma-33.jpg
    1. link: http://www.sideshowworld.com/45-DMCC/2013/Kima/Elephant-Skin-Girl.html
  11. link: http://img.webmd.com/dtmcms/live/webmd/consumer_assets/site_images/articles/health_tools/psoriasis_overview_slideshow/dermnet_rf_photo_of_psoriasis_symptoms.jpg
    1. link: http://www.globalskinatlas.com/upload/211_4.jpg
  12. link: https://www.organicfacts.net/wp-content/uploads/anhidrosis.jpg
    1. link: http://goodtoknow.media.ipcdigital.co.uk/111/0000002d7/f4c3/contact-dermatitis.jpg
    2. link: http://hardinmd.lib.uiowa.edu/pictures22/dermnet/eczema_foot_41.jpg
  13. link: http://www.huidziekten.nl/afbeeldingen/dermatosis-neglecta-2.jpg
    1. link: http://m.patient.media/images/dis9038.jpg
  14. link: http://www.healthline.com/hlcmsresource/images/Image-Galleries/Ringworm/ringworm_arm.jpg
    1. link: http://www.crutchfielddermatology.com/images/ringworm/001_t.jpg
  15. link: http://www.drscholls.ca/uploads/conditions/6_4_athletesfoot_1_5001.jpg
  16. link: http://img.webmd.com/dtmcms/live/webmd/consumer_assets/site_images/articles/health_tools/scabies_overview_slideshow/princ_rm_photo_of_scabies_skin_infection.jpg
  17. link: http://doctorv.ca/wp-content/uploads/2013/04/Folliculitis.gif
  18. link: http://old.infectionnet.org/wp-content/uploads/2010/07/furuncle.jpg
    1. link: http://www.skincareguide.ca/images/glossary/furuncle.jpg
  19. link: http://www.alwaysayurveda.com/wp-content/uploads/2013/12/wet-eczema.jpg
  20. link: http://skinbiology.com/images/Copper_chaptergraphic1_copperdeficiency.jpg

Glossary

  1. virōdhīnyannapānāni (विरोधीन्यन्नपानानि- virodhInyannapAnAni) - The food, drinks, & medicine, which dislodges the dosha from its site i.e. doshatklesa, but does not expel it out and which acts contradictory to the body tissues. They do not help in the nourishment of dhatu and in due course produce many diseases /incompatible food. Foods which are antagonist to body and dhatu are called as viruddha.
  2. Gharma - (घर्म- gharma) – warm, heat, contact with heat
  3. Sparśājñatva - (स्पर्शाज्ञत्वम- sparshAj~jatvam) – loss of sensation
  4. kōṭhānāṁ - (कोठानां- koThAnAM ) - Wheels on the skin
  5. tōda - (स्तोदः- todaH) - Needling pain
  6. klamaḥ - (क्लमः- klamaH) - Exhaustion without exertion or Feeling of weakness in heart.
  7. kaṇḍū - (कण्डू – kaNDU) - Itching
  8. suptāṅgatā (सुप्ताङ्गता- suptAnggatA )- numbness
  9. Kapāla - (कपालो- kapala) - black pieces of burnt clay
  10. Udumbara - (उदुम्बर-odumbara) - similar in color and shape to ripe fig fruit
  11. maṇḍala - (मण्डल – maNDala) - Circular patch, Round shaped
  12. rṣyajihva - (ऋष्यजिह्वं – rShyajihva) – like a tongue of a type of deer with blue testicles
  13. puṇḍarīka - (पुण्डरीक – puNDarIka)- Like colour of white lotus
  14. sidhma (सिध्म – sidhma) - A subtype of kustha characterized by formation of eruption that are rough, brownish in color, fissured and thin at the margins, oily in the centre, have a tinge of the white and red, and are sluggish in growth and ulceration.
  15. kākaṇak (काकणकै – kAkaNak) – like fruits of red gunja
  16. kiṭima (किटिम – kiTima) - A subtype of kustha characterized by formation of eruptions that are rounded, thick, oily, blackish in color, and are attended by oozing and severe itching.
  17. yadrajō ghr̥ṣṭaṁ vimuñcati (यद्रजो घृष्टं विमुञ्चति - yadrajo ghRuShTaM vimu~jcati) – on scratching fine particle of epidermal layer fall.
  18. matsyaśakalōpamam (न्मत्स्यशकलोपमम् – matsyashakalopamam - Resembles the scale of fish.
  19. hasticarmavat (हस्तिचर्मवत् – hasticarmavat) – like skin of elephant
  20. kiṇakharasparśaṁ (किणखरस्पर्शं – kiNakharasparshaM) – like the feeling of wound scar
  21. gaṇḍai (गण्डै – gaNDai) – swelling
  22. Pracchanam (प्रच्छन – pracchanam)- debridement
  23. śītarasaḥ - (शीतरसः – shItarasaH) - type of sīdhu kalpana wherein apakva iksurasa etc.are used for preparation.
  24. pakvarasō - (पक्वरसो pakvaraso)- type of sīdhu kalpana wherein drava dravya are used for preparation
  25. suptasuptāny (सुप्तसुप्तान्य – suptasuptAny) – numbness / loss of sensation
  26. lēlītaka – (लेलीतक lelItaka) gandhaka / sulphur
  27. rasēna – (रसेन – rasena) - parada/ mercury
  28. pūrvakr̥taṁ ca karma – (पूर्वकृतं च कर्म pUrvakRutaM ca karma) – deeds of past life
  29. Utkliṣṭē –]i%@laoYT – free from adhesion
  30. tuṣōdaka- तुषोदक- This is the fermented liquid prepaired using the coarse grains of barley.
  31. Sīdhū- सीधू- Fermentation of the sweetening liquids with/without subjecting to heat.
  32. pāruṣyaṁ – पारुष्यं - quality which causes hardness
  33. Anubandha – AnaubanQa – Apradhan – associated dōṣa